Ȩ

67¸í

396189¸í

Ȩ>È£Èí±âQ&A

Weekly46 ¿µ»óÀ» º¸°í Áø´Ü¸íÀ» ¸ÂÃçÁÖ¼¼¿ä

¹®¼º¿ì 2
388
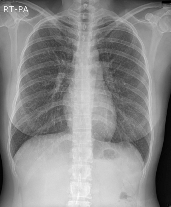
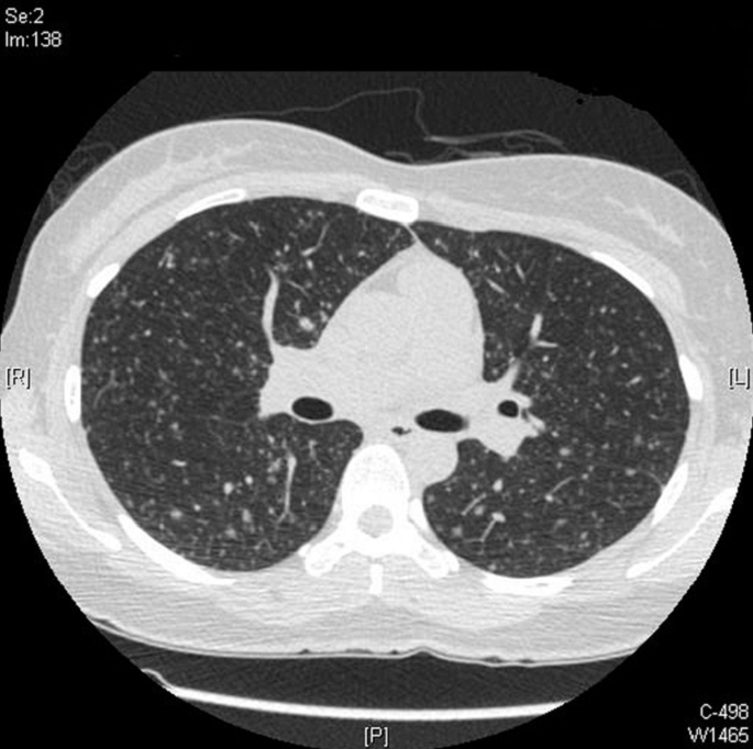
34¼¼ ¿©È¯
 
Ưº°ÇÑ Áõ»ó ¾øÀÌ CXR »ó ÀÌ»ó¼Ò°ßÀÌ ÀÖ´Ù°í Refer µÈ Case ÀÔ´Ï´Ù.
 
AFB Negative ÀÔ´Ï´Ù.
 
Chest PA, Chest CT »çÁøÀÔ´Ï´Ù.


Weekly46 ¿µ»óÀ» º¸°í Áø´Ü¸íÀ» ¸ÂÃçÁÖ¼¼¿ä
Weekly45 ¿µ»óÀ» º¸°í Áø´Ü¸íÀ» ¸ÂÃçÁÖ¼¼¿ä

±Û¾²±â