Ȩ

7¸í

408341¸í

Ȩ>È£Èí±âQ&A

Weekly26 ¿µ»ó Á¤´äÀÔ´Ï´Ù.

¼ÛÁÖÇÑ 2
83
Á¤´ä: Docetaxel induced interstitial pneumonitis
 
ȯÀÚ´Â breast cancer ¿¡ ´ëÇØ docetaxel based chemotherapy¸¦ ½ÃÇà¹Þ¾Ò°í
ÀÌÈÄ Áõ»ó ¹ß»ýÇÏ¿´½À´Ï´Ù.
 
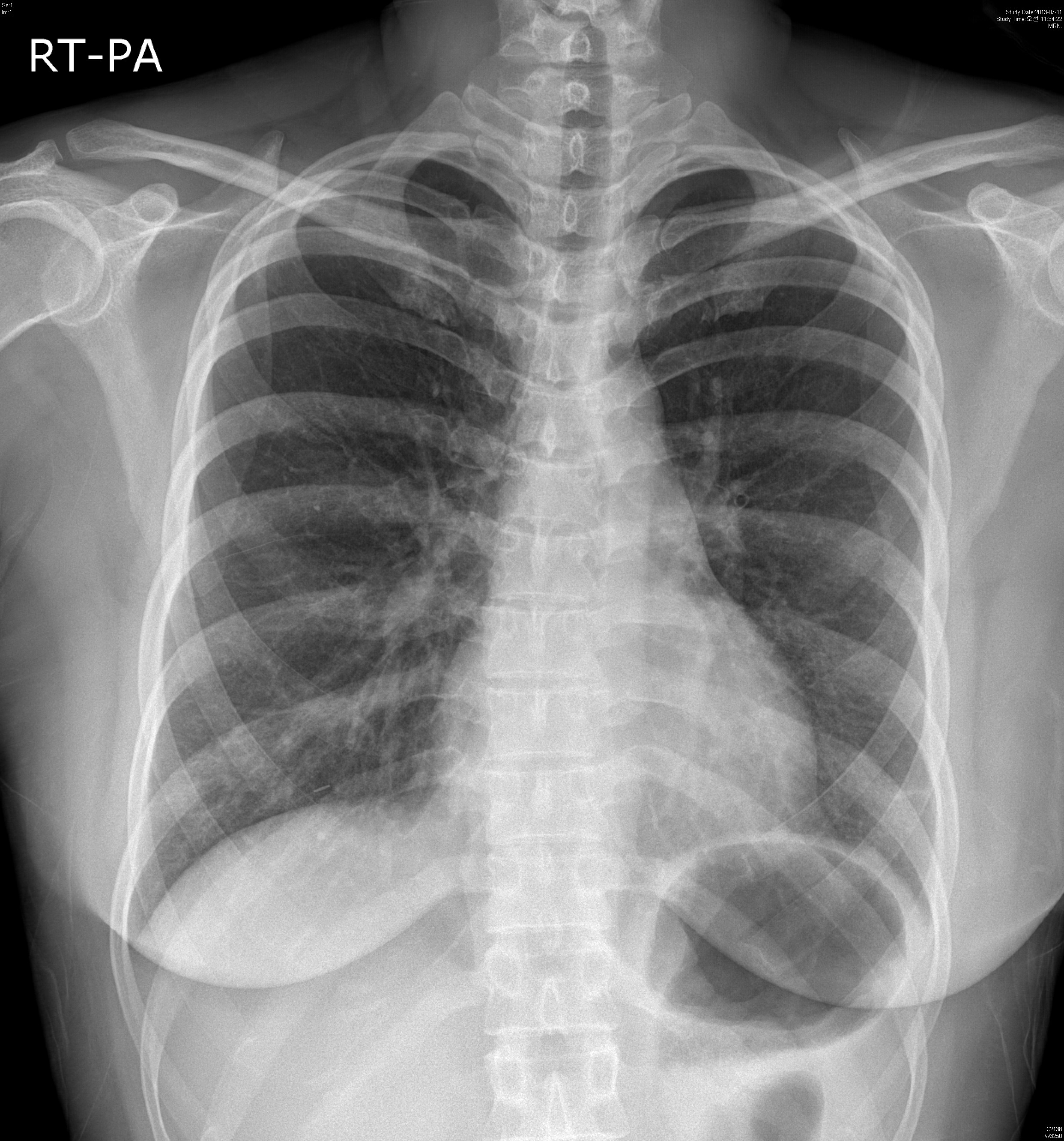
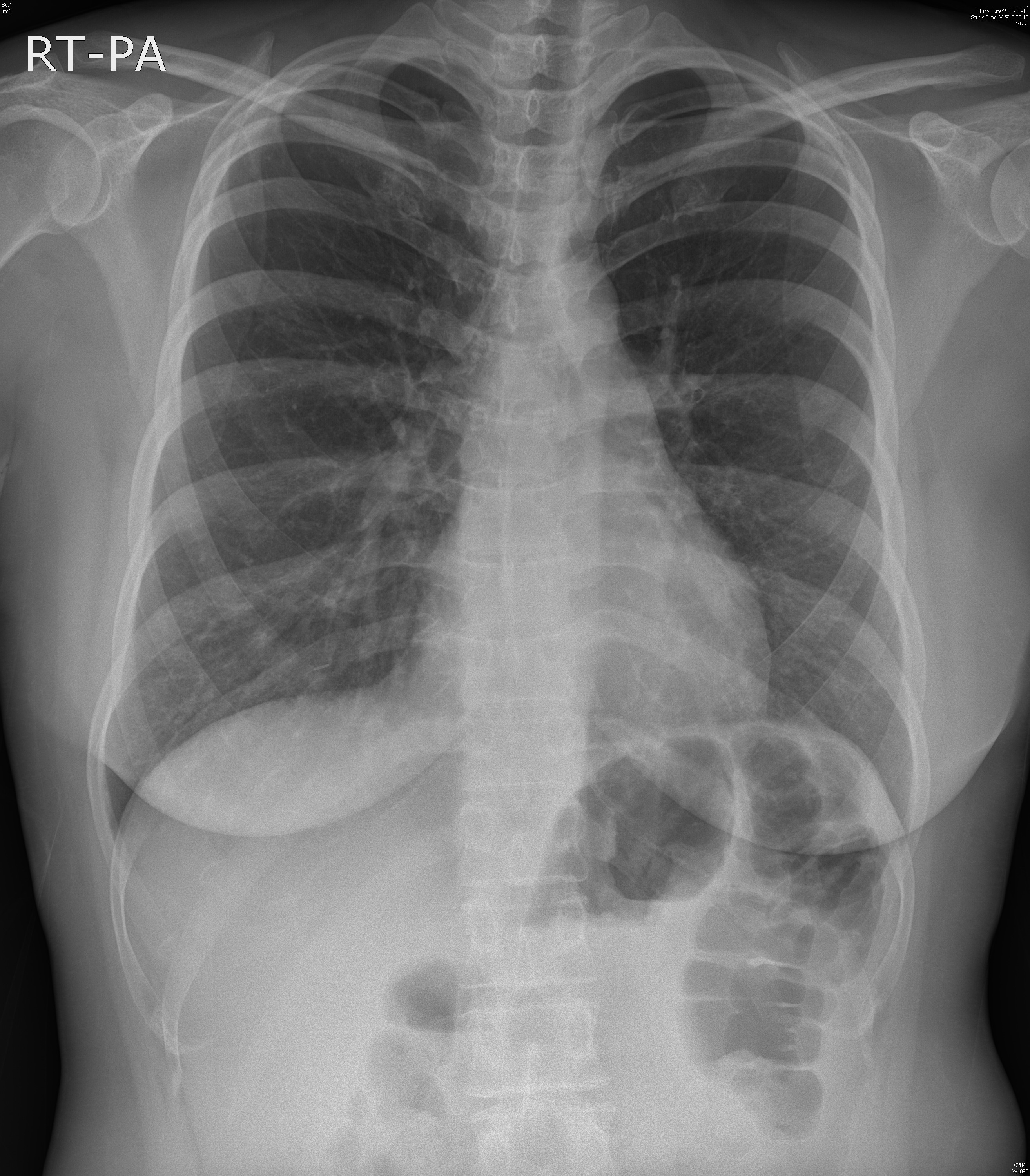
Chest CT ÆÇµ¶
Diffuse patchy ground glass opacity in both lungs.
No pleural effusion.
IMP: Most likely interstitial pneumonia such as viral or PCP.
 
¼ö¼úÀÌ °èȹµÇ¾î ÀÖ´Â »óÅ·Î, °Ë»ç»ó ´Ù¸¥ °¨¿°ÀÇ Áõ°Å°¡ ¸íÈ®ÇÏÁö ¾Ê¾ÒÀ¸¸ç, breast cancer
cell typeÀÌ invasiveÇÏ¿© BAL µîÀÇ °Ë»ç ÁøÇà ¾øÀÌ
Prednisolone º¹¿ëÇÏ¿© Ä¡·áÇÏ¿´½À´Ï´Ù.
 
1ÁÖÈÄ DOEµîÀÇ Áõ»óÀº È£ÀüµÇ¾ú°í Steroid tapering Áß¿¡ ÀÖ½À´Ï´Ù.
¾Æ·¡´Â Ä¡·á ÀüÈÄÀÇ »çÁø°ú  Review ÀÔ´Ï´Ù.
 

 
Docetaxel induced Interstitial pneumonitis
           Multiple reports, acute or subacute
           Bilateral
           Deveoloping within hours or a few weeks after paclitaxel, docetaxel
           Paclitaxel
                     Acute or subacute diffuse interstitial pneumonia
                     Pulmonary opacities with peripheral eosinophilia
                     Acute noncardiogenic pulmonary edema
           Docetaxel        
                     Acute or subacute diffuse interstitial pneumonia
                     ARDS
                     Pleural effusion
           Immune mediated delayed hypersensitivity reaction
           Incidence
                     1-4%( patients with every 3 week schedule)   
          Impact of dose
                     Docetaxel, modest dose effect
                     Higher incidence grade3-4 pulmonary toxicity doses of 100mg/m2
                     as compared to 60,g/m2   
           Concomitant drugs
                     Taxane induced pulmonary toxicity, higher when Taxane + Cytotoxic agents
                     Cytotoxic agents: gemcitabine
                     Cisplatin + weekly docetaxel
                     Radiation + weekly docetaxel
           Radiologic appearance
                     Nonspecific
                     Increased reticular markings in a patchy or diffuse pattern with or
                     without GGO
Eosinophil parenchymal infiltration
Organizing pneumonia type reactions
Focal opacities or dense nodules or consolidation with or without
bronchograms
           BAL and biopsy
                     To exclude other precesses such as infection, alveolar hemorrhage, metastasis
                     BAL: lymphocytosis
                     Lung biopsy: progressive or severe disease
                     Histopathology, nonspecific
           Treatment
                     Supportive care
                     Avoidance of taxane therapy until evidence of pneumonitis has
                     resolved
                     Steroid in selected patients
                                Immunologic mechanism (hypersensitivity pneumonitis)
                                Acute or subacute presentation
                                Bronchoconstriction, inhaled bronchodilators
                                Severe pulmonary toxicity (DOE, desaturation, worsening
                                clinical status)
                                Mandatory to exclude infection (ex, BAL)
                                Prednisone, 40~60mg daily
                                IV steroid for respiratory failure
                                   -  Acute, subacute onset: improved rapidly
                                   -  Diffuse alveolar damage progress despite steroid Tx
Weekly29 ¿µ»óÀ» º¸°í Áø´Ü¸íÀ» ¸ÂÃçÁÖ¼¼¿ä
Weekly27 ¿µ»ó Á¤´äÀÔ´Ï´Ù.

±Û¾²±â