Ȩ

20¸í

408354¸í

Ȩ>È£Èí±âQ&A

Weekly27 ¿µ»ó Á¤´äÀÔ´Ï´Ù.

Á¤¿øÀç 2
100
CXR»ó È®ÀÎÇÒ ¼ö ÀÖ´Â ¼Ò°ß, Á¤´äÀº LLL atelectasisÀÔ´Ï´Ù.
 
Chest PA»ó ½ÉÀå°ú Áß÷µÇ¾î »ï°¢Çü ¸ð¾çÀÇ À½¿µÀÌ º¸ÀÔ´Ï´Ù. ÁÂÃø Æó¹®ÀÌ Á» ³·¾ÆÁö°í ÁÂÇÏ¿± Æóµ¿¸ÆÀÌ Àß º¸ÀÌÁö ¾Ê´Â °æ¿ì°¡ ¸¹½À´Ï´Ù. lateral¿¡¼­´Â major fissure°¡ ÈĹæÀ¸·Î À̵¿ÇÒ ¶§ ÀǽÉÇÒ ¼ö ÀÖ°Ú½À´Ï´Ù.
 
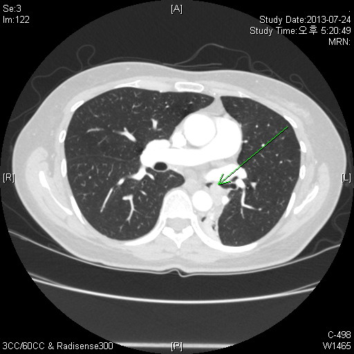
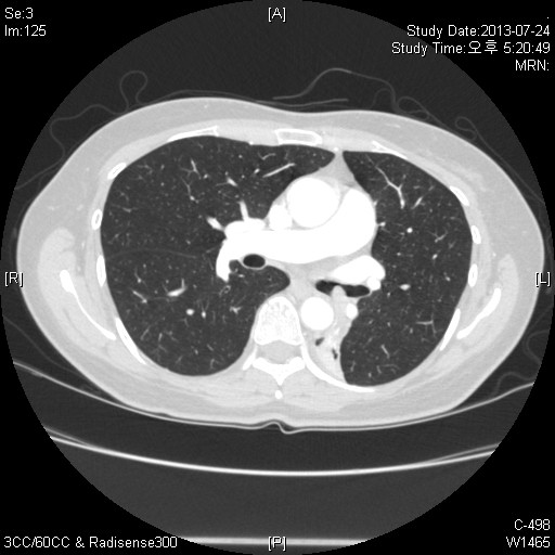
CT ¹× bronchoscopy¸¦ º¸½Ã¸é

 

 

 
 
CT¹× FOBÀÇ ¼Ò°ßÀ» º¸½Ã¸é LLL¸¦ obstructingÇϰí Lt main bronchus±îÁö protruding ÇÏ´Â mass°¡ °üÂûµË´Ï´Ù. FOB·Î biopsy»ó Carcinoid tumor°¡ Áø´ÜµÇ¾ú½À´Ï´Ù.
 
LLL atelectasis
Obstructing endobronchial tumor , Carcinoid tumor µÇ°Ú½À´Ï´Ù.
 
 
 
 
Weekly26 ¿µ»ó Á¤´äÀÔ´Ï´Ù.
Weekly27 ¿µ»óÀ» º¸°í Áø´Ü¸íÀ» ¸ÂÃçÁÖ¼¼¿ä(CXR¸¸ ÀÖÀ½)

±Û¾²±â