Ȩ

40¸í

396787¸í

Ȩ>È£Èí±âQ&A

Weekly28 ¿µ»óÀ» º¸°í Áø´Ü¸íÀ» ¸ÂÃçÁÖ¼¼¿ä

ȲÀǵ¿ 2
94
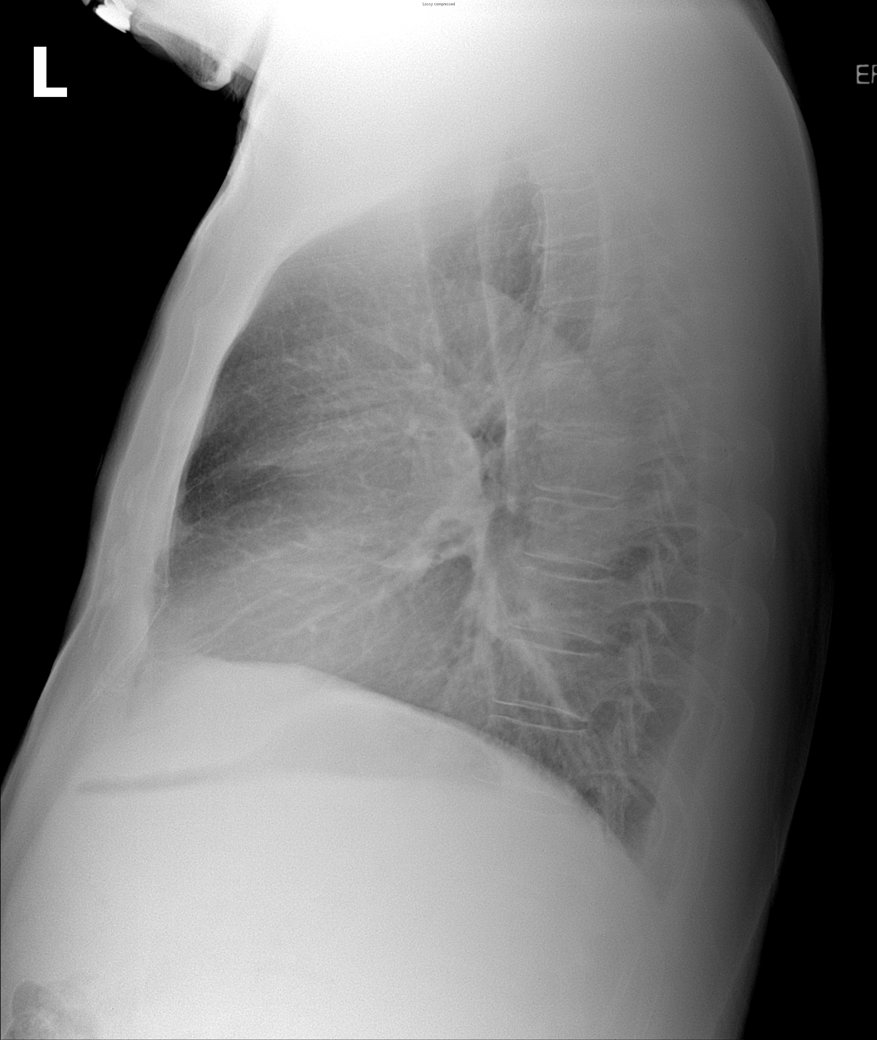
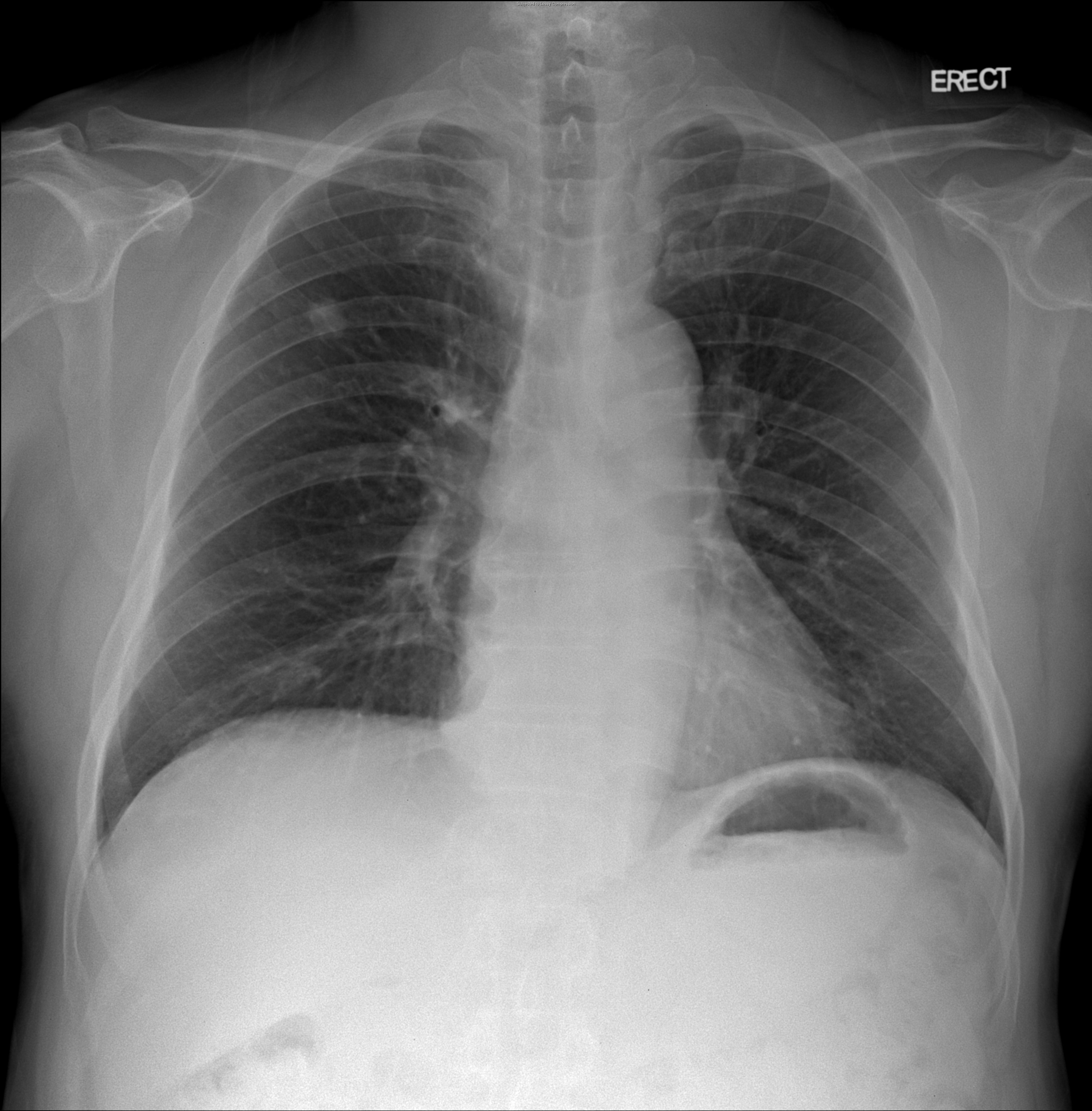
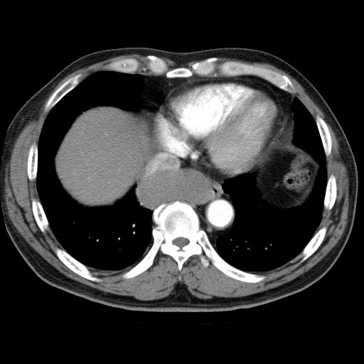
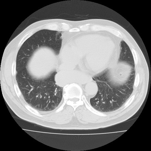
69¼¼ ³²È¯ DM,HTN °ú°Å·Â ÀÖ´ø ȯÀÚ·Î ³»¿ø 10³âÀüºÎÅÍÀÇ right pleural chest pain À» ÁÖ¼Ò·Î ³»¿øÇÑ È¯ÀÚÀÇ CxR ¹× Chest CTÀÔ´Ï´Ù.




Weekly27 ¿µ»óÀ» º¸°í Áø´Ü¸íÀ» ¸ÂÃçÁÖ¼¼¿ä(CXR¸¸ ÀÖÀ½)
Weekly27 ¿µ»óÀ» º¸°í Áø´Ü¸íÀ» ¸ÂÃçÁÖ¼¼¿ä(CXR¸¸ ÀÖÀ½)

±Û¾²±â