Ȩ

5¸í

396802¸í

Ȩ>È£Èí±âQ&A

Weekly27 ¿µ»óÀ» º¸°í Áø´Ü¸íÀ» ¸ÂÃçÁÖ¼¼¿ä(CXR¸¸ ÀÖÀ½)

Á¤¿øÀç 2
113

 
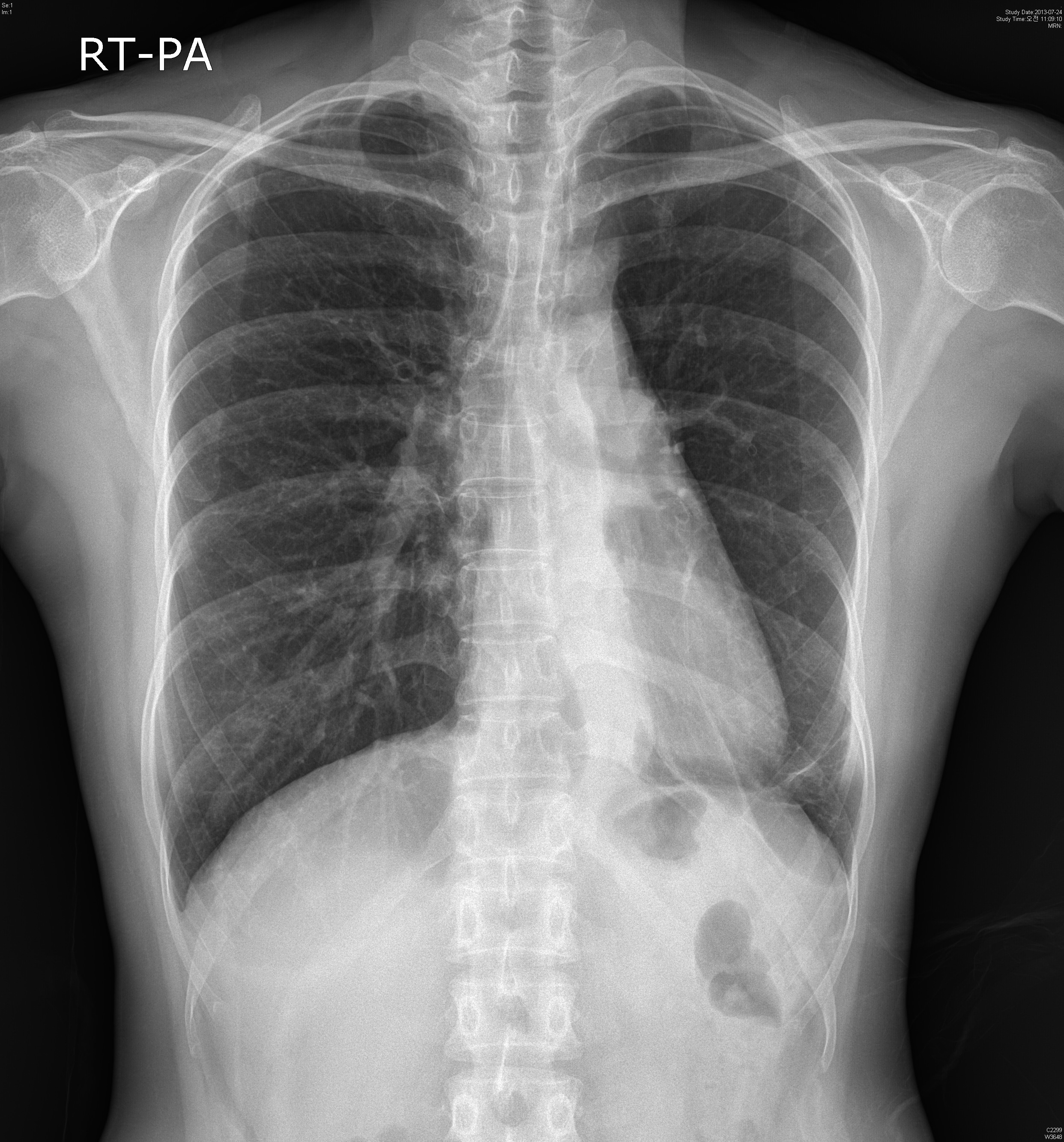
45¼¼ ¿©ÀÚ. chronic coughÀÖ´ø ºÐÀ¸·Î hemoptysis·Î ¿Ü·¡ ³»¿ø.
 
CXR»ó °üÂûµÇ´Â ¼Ò°ß ȤÀº º´¸í ´äº¯ÁÖ¼¼¿ä.
 

 
Weekly28 ¿µ»óÀ» º¸°í Áø´Ü¸íÀ» ¸ÂÃçÁÖ¼¼¿ä
Weekly26 ¿µ»óÀ» º¸°í Áø´Ü¸íÀ» ¸ÂÃçÁÖ¼¼¿ä

±Û¾²±â