Ȩ

9¸í

396862¸í

Ȩ>È£Èí±âQ&A

Weekly 24 ´äº¯ÀÔ´Ï´Ù.

È«Áö¿µ 2
GIANT BULLA MIMICKING PNEUMOTHORAX.PDF 80
 



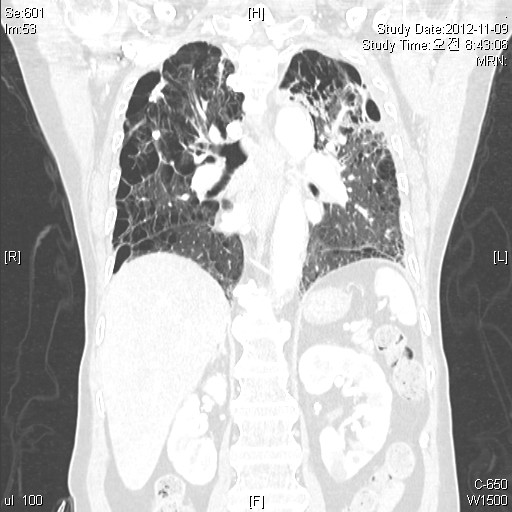
1) 6°³¿ù Àü Chest CT »çÁø
2) À̹ø Chest CT »çÁø
---reading
Compared with the previous study taken on 2012-11
Improved both lung consolidations.
No remarkable change in fibrotic lesions of both lungs.
More emphysema and enlarged bullae of both lungs.
About 17.8cm bulla of Rt. lower thorax with passive atelectasis of RLL.
Others are not remarkable
3) Chest tube removal ÈÄ CXR
 
»çÁøÀ» º¸°í Peumothorax ¿Í Giant bullae ÀÇ °¨º° ¹× µ¿¹Ý °¡´É¼ºÀ» °í·ÁÇØ¾ß ÇϰڽÀ´Ï´Ù.
Misdiagnosis of pulmonary bullae °¡ ÈçÇϱ⠶§¹®¿¡ Áø´Ü¿¡ À־ ±âÈäÀ¸·Î »ý°¢ÇÏ°í ¼º±ÞÇÏ°Ô °á·ÐÀ» ³»¸®´Â °ÍÀ» [Premature diagnostic closure ³ª Commission bias (errors of omission°ú ¹Ý´ëµÇ´Â °³³ä)] Á¶½ÉÇØ¾ß ÇÑ´Ù°í ÇÕ´Ï´Ù.
±âÈä °¡´É¼º¸¸ »ý°¢Çϰí Chest tube ¸¸ ³Ö¾úÀ» °æ¿ì¿¡ persistent air leak ¹× Áõ»ó ¾ÇÈ­°¡ ¹ß»ýÇÒ ¼ö ÀÖ°í bullectomy and pleurodesis Ãß°¡·Î ½ÃÇàÇÏ´Â °ÍÀ» °í·ÁÇØ¾ß ÇÕ´Ï´Ù.
±âÈäÀÌ ´õ acute Çϰí Bullous emphysema ´Â ¸î´Þ¿¡ °ÉÃÄ dyspnea °¡ ¹ß»ýÇÏ´Â °æÇâÀ» º¸ÀÌÁö¸¸ ±âÈäÀÌ µ¿¹ÝµÇ¸é¼­ Áõ»óÀÇ ¾ÇÈ­¸¦ º¸À̱⠶§¹®¿¡ °¨º°ÀÌ ¾î·Æ½À´Ï´Ù.
Tension pneumothorax ÀÏ ¶§ ³ªÅ¸³ª´Â »ýüÁõÈİ¡ (absence of shock, jugular venous pressure elevation or muffled heart sounds) µµ¿òÀÌ µÇ±âµµ ÇÕ´Ï´Ù.
 
°áÁ¤ÀûÀ¸·Î´Â Chest CT °¡ µµ¿òÀÌ µÇ¸ç µ¿¹ÝµÈ secondary pneumothorax ¸¦ È®ÀÎÇÒ ¶§´Â The
double wall sign °¡ ±âÈäÀÌ µ¿¹ÝµÇ¾ú´ÂÁö ¾Æ´Â clue °¡ µË´Ï´Ù. ÀÌ sign ÀÌ ¾øÀ» ¶§´ÂBullae ¸¦ ½Ã»çÇ졒ʱâÈäÀº ½Ã»çÇÏÁö ¾ÊÀ¸¹Ç·Î ºÒÇÊ¿äÇÑ Chest tube ¸¦ Áö¾çÇØ¾ß ÇÕ´Ï´Ù.
 
Á¤´ä: Bullous emphysema with pneumothorax
ÀÌ È¯ÀÚ´Â ±âÈäÀÌ µ¿¹ÝµÇ¾î Chest tube insertion ÇÏ¿´°í ÃÖÁ¾ÀûÀ¸·Î´Â bullectomyÀÇ ´ë»óÀÌ µÉ °ÍÀ¸·Î »ý°¢µË´Ï´Ù.¿ÞÂʵµ ¿©·¯ Â÷·Ê tube insertion À» ÇÑ »óÅ·Π¾ÆÁ÷ op ´Â ÇÏÁö ¾Ê°íchest tube ´Â removal ÇÏ¿´½À´Ï´Ù.
 
Emphysema is a pathologic process characterized by permanent enlargement of air spaces distal to the terminal bronchioles. Hyperinflation results from destruction of interalveolar septae and alveolar fusion into large air sacs. Leakage of air into the interstitium leads to the formation of blebs and bullae. Giant bullae, while uncommon, can lead to the compression of the adjacent normal lung tissue. When emphysema is associated with large bullae, the condition is referred to as bullous emphysema.
Bullous emphysema usually occurs as a complication of chronic obstructive pulmonary disease; however, primary bullous emphysema can occur. This phenomenon was originally reported in 1937 by Burke,1 who referred to it as "vanishing lung syndrome." Burke described a series of young men who developed progressive dyspnea associated with extensive and predominantly asymmetric upper lobe emphysema, eventually leading to respiratory failure.
Differentiating between bullous emphysema and a pneumothorax can be challenging. Patients with bullous emphysema complain of progressive dyspnea owing to a gradual increase in bullae size. Of note, bullae may occasionally regress spontaneously. Pneumothorax classically involves a history of sudden deterioration in respiratory function associated with chest pain, but some patients may present atypically. Moreover, bullae rupture in patients with bullous emphysema can lead to the development of acute respiratory distress. In unclear cases, a CT scan of the patient's chest will establish the diagnosis.2Emergency department ultrasonography may also be helpful in differentiating between these 2 diagnoses. In bullous emphysema, a bedside scan may reveal sliding of the lung tissue against the pleura during inspiration associated with "comet tail" artifacts, whereas in a pneumothorax such movement is absent.3
Patients with bullous emphysema may require a bullectomy. Indications for surgery include increasing bullae size, pneumothorax, pulmonary insufficiency and bullous infection.4 Total pneumonectomy may be indicated in patients with severe unilateral disease.
Weekly 24 ¿µ»óÀ» º¸°í Áø´Ü¸íÀ» ¸ÂÃç ÁÖ¼¼¿ä
Weekly26 ¿µ»óÀ» º¸°í Áø´Ü¸íÀ» ¸ÂÃçÁÖ¼¼¿ä

±Û¾²±â