Ȩ

19¸í

408446¸í

Ȩ>È£Èí±âQ&A

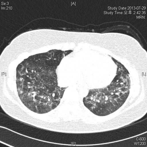
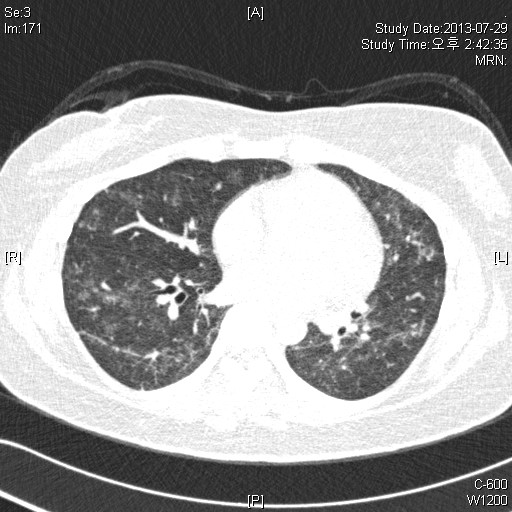
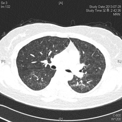
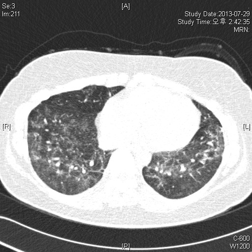
Weekly26 ¿µ»óÀ» º¸°í Áø´Ü¸íÀ» ¸ÂÃçÁÖ¼¼¿ä

¼ÛÁÖÇÑ 2
106
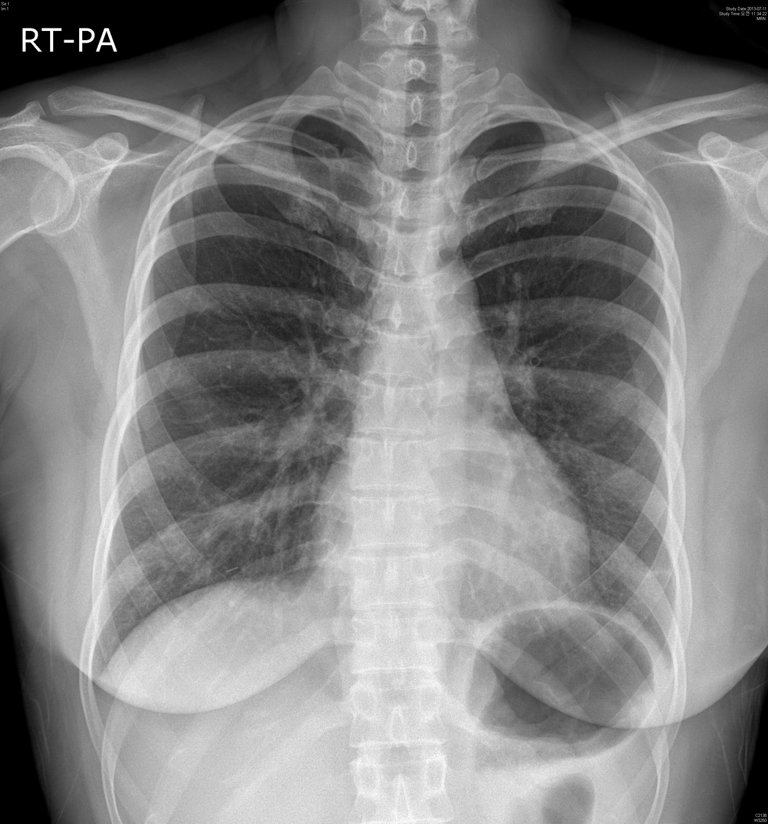
39¿©ÀÚ È¯ÀÚ·Î, Rt breast cancer Áø´ÜÇÏ¿¡ 2013³â 3¿ùºÎÅÍ Ç×¾Ï Ä¡·á ¹ÞÀº ȯÀÚ·Î,
dyspnea on exertion ¾ÇÈ­µÇ¾î È£Èí±â³»°ú ¹æ¹®ÇÔ.
 
CRP 0.68 mg/l, Procalcitonin<0.05 mg/dl
CBC: 6000-12.1-246k(neutrophil:71.8%, eosinophil 1.0%)
PFT: FVC/FEV1/Ratio: 2140(56%)/ 1810(60%)/ 84% (3ÃÊ ÀÌ»ó ºÒÁö ¸øÇÔ)
Bronchodialtor response (-)
 





Weekly 24 ´äº¯ÀÔ´Ï´Ù.
Weekly25 ¿µ»óÀ» º¸°í Áø´Ü¸íÀ» ¸ÂÃçÁÖ¼¼¿ä

±Û¾²±â