Ȩ

5¸í

408461¸í

Ȩ>È£Èí±âQ&A

Weekly25 ¿µ»óÀ» º¸°í Áø´Ü¸íÀ» ¸ÂÃçÁÖ¼¼¿ä

ÀÌÀμ± 2
107
 
50¼¼ ¿©È¯
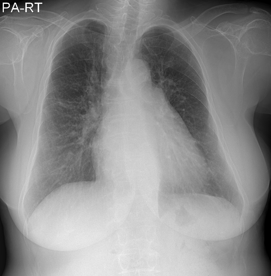
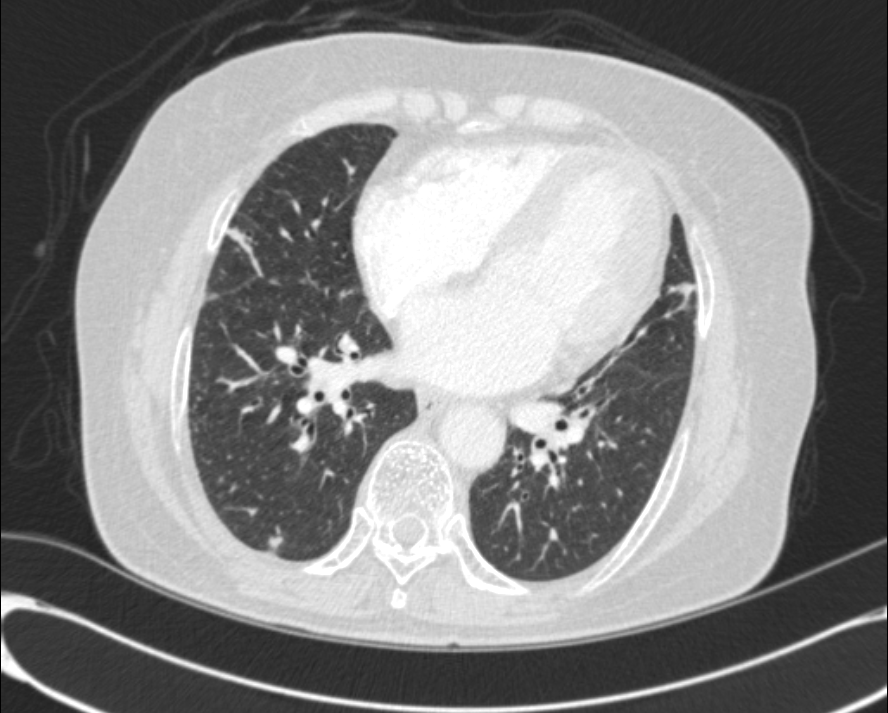
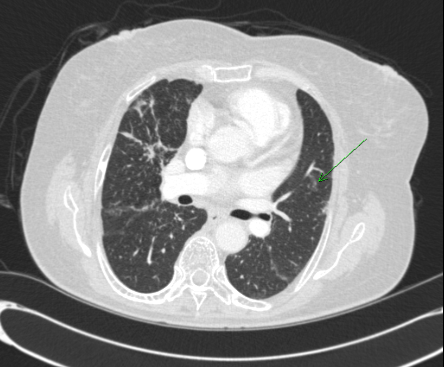
DOE  ÁּҷΠ evaluation  À§ÇØ ÃÔ¿µÇÑ  CXR ¹× chest CT ¼Ò°ßÀÔ´Ï´Ù.
 
* Echocardiography- no RWMA, EF 67% , E/E¡¯ 15.8
* PFT c DLco
FEV1 1.41L 69% , FVC 1.88L 67% ,Ratio 75%
TLC 3.32L 74% , VC 2.02 73% , RV 1.50  59%
DLCO/VA 192%
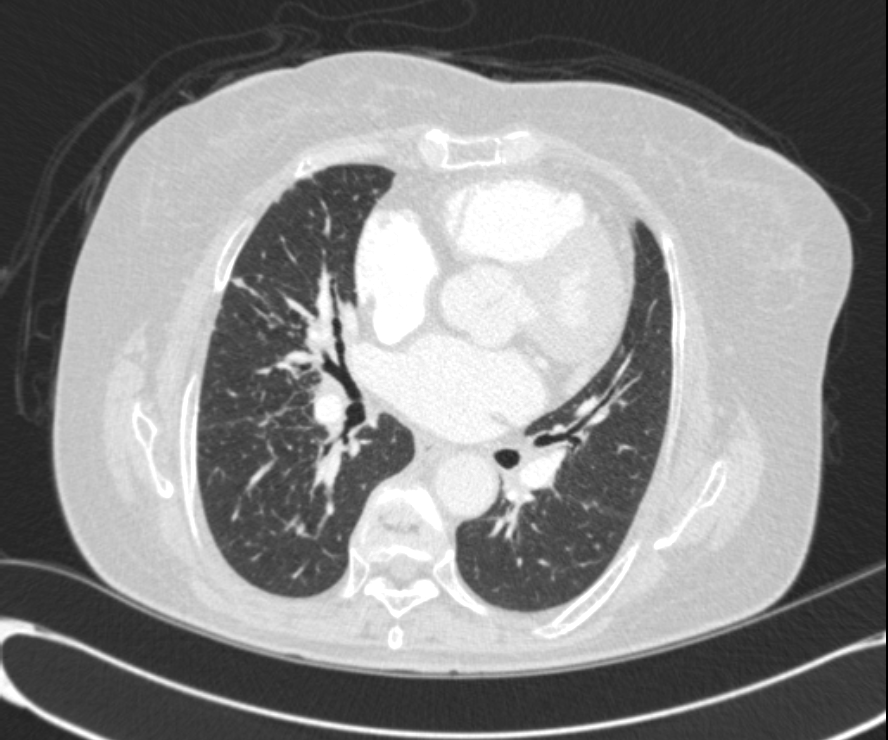
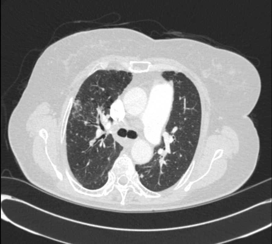
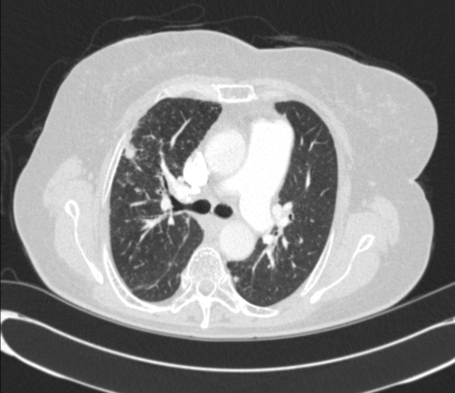
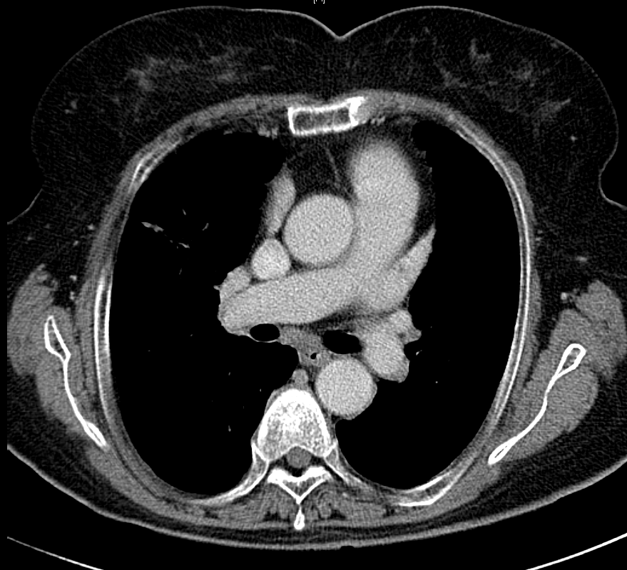
* CXR °ú  chest CT  »çÁøÀÔ´Ï´Ù.
¶Ñ·ÇÇÑ ¿µ»óÀ» À§ÇØ f/u Áß¿¡ ÂïÀº »çÁøÀ» ÷ºÎÇÏ¿´½À´Ï´Ù.








l  Chest CT 
Progression of multiple small nodules in both lungs, along peri-BV and ILS, dominant on RUL and RML. No significant change of several small LNs in both hilar and mediastinum.   COPD: diffuse bronchitis. LH enlarge and PAH.      
--> Impression??
 
Weekly26 ¿µ»óÀ» º¸°í Áø´Ü¸íÀ» ¸ÂÃçÁÖ¼¼¿ä
Weekly 24 ¿µ»óÀ» º¸°í Áø´Ü¸íÀ» ¸ÂÃç ÁÖ¼¼¿ä

±Û¾²±â