Ȩ

11¸í

408476¸í

Ȩ>È£Èí±âQ&A

Weekly 24 ¿µ»óÀ» º¸°í Áø´Ü¸íÀ» ¸ÂÃç ÁÖ¼¼¿ä

È«Áö¿µ 2
122


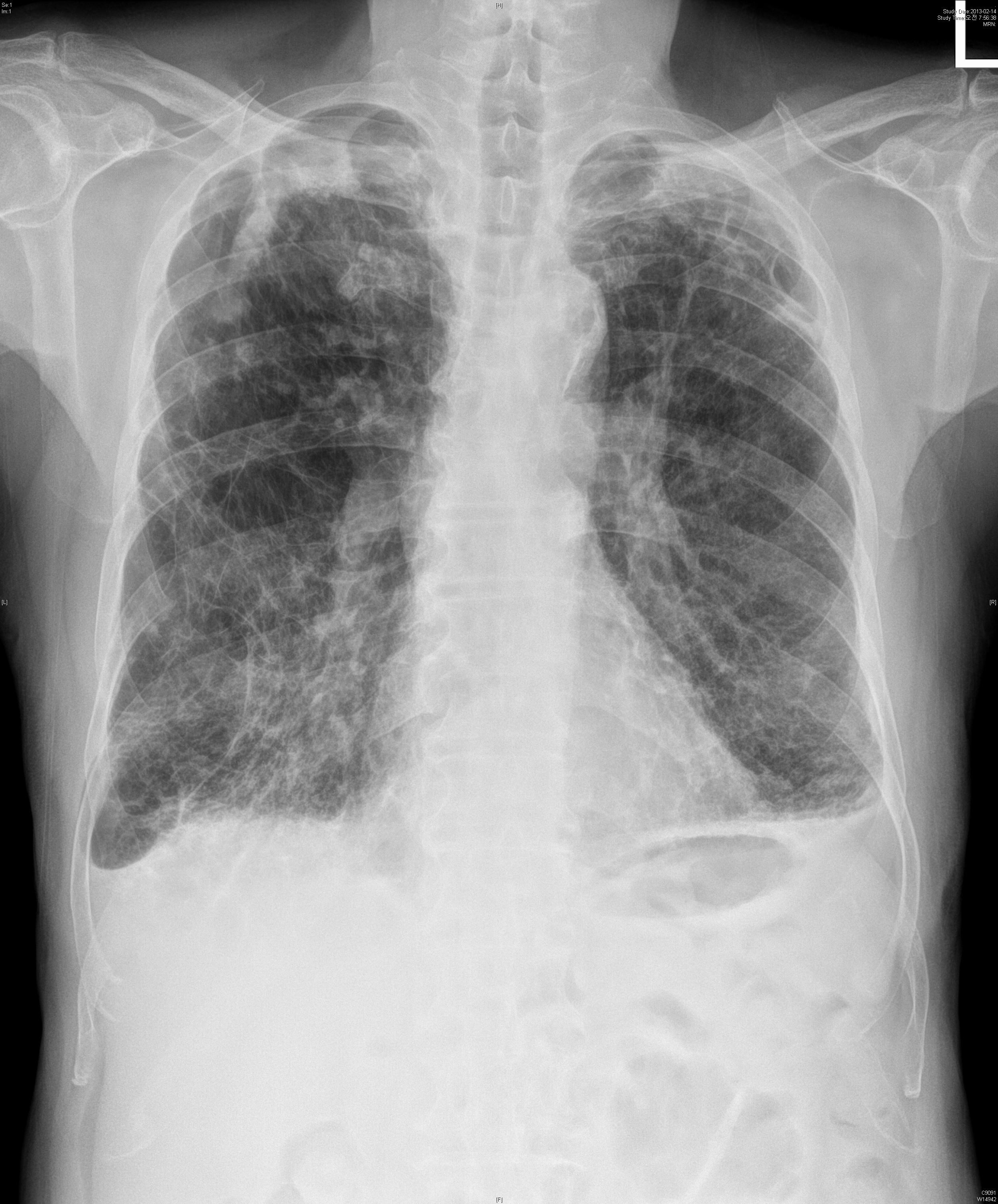
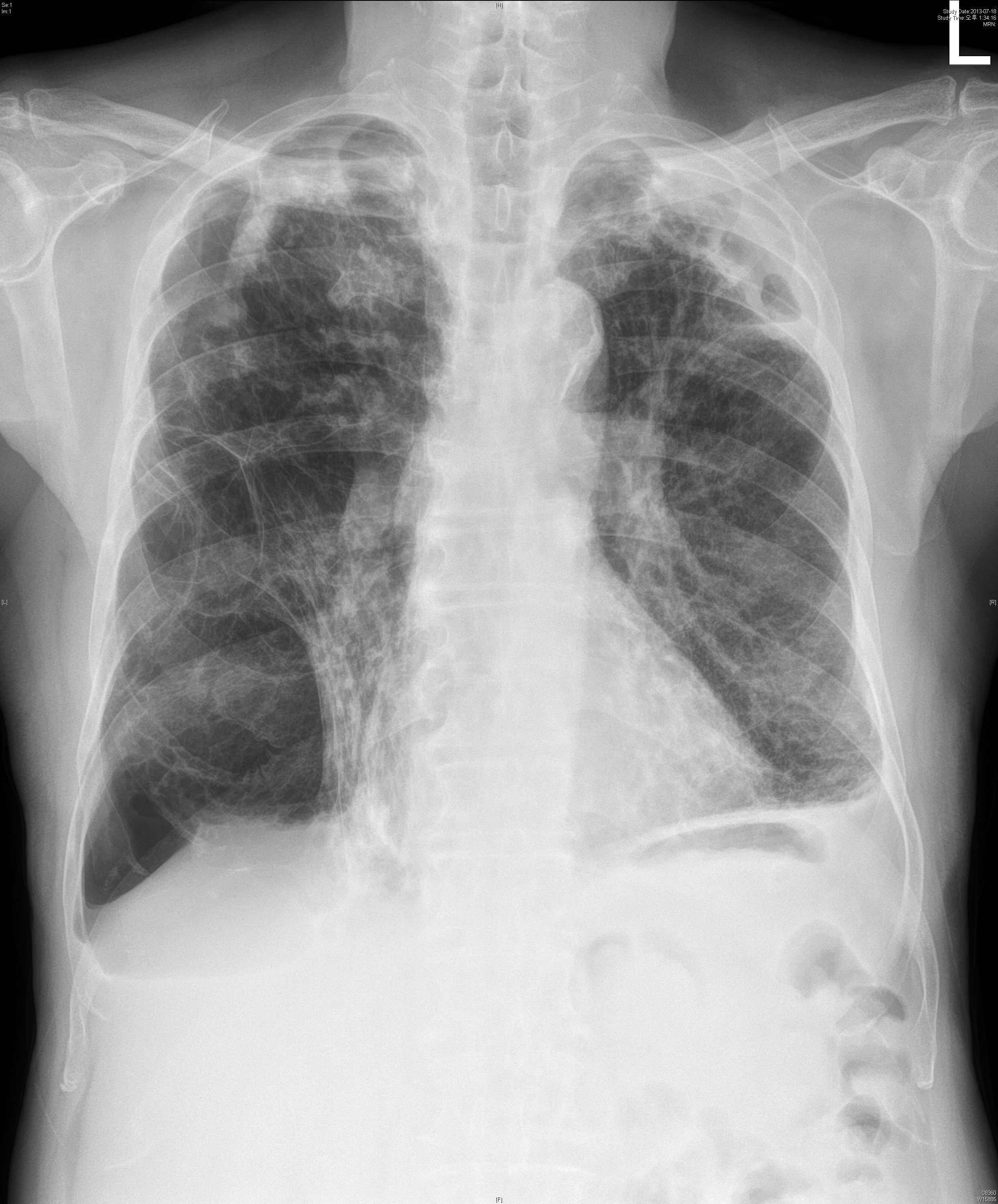
74¼¼ ³²È¯À¸·Î COPD grade A, CAOD, prostate cancer ·Î f/u ÁßÀ̾ú½À´Ï´Ù.
¾à ¿­Èê ÀüºÎÅÍÀÇ °¡½¿ ÅëÁõ ¹× È­³ó¼º °´´ãÀ» ÁÖ¼Ò·Î ³»¿øÇÏ¿´½À´Ï´Ù.
ÁÂÃøÇϺο¡¼­ crackles ûÁøµÇ¾ú½À´Ï´Ù.
6°³¿ù ÀüÈÄÀÇ »çÁøÀÔ´Ï´Ù.
 
Weekly25 ¿µ»óÀ» º¸°í Áø´Ü¸íÀ» ¸ÂÃçÁÖ¼¼¿ä
Weekly 23 ¿µ»ó ´äº¯ÀÔ´Ï´Ù.

±Û¾²±â