Ȩ

43¸í

408533¸í

Ȩ>È£Èí±âQ&A

Weekly 23 ¿µ»óÀ» º¸°í Áø´Ü¸íÀ» ¸ÂÃç ÁÖ¼¼¿ä

È«Áö¿µ 2
139
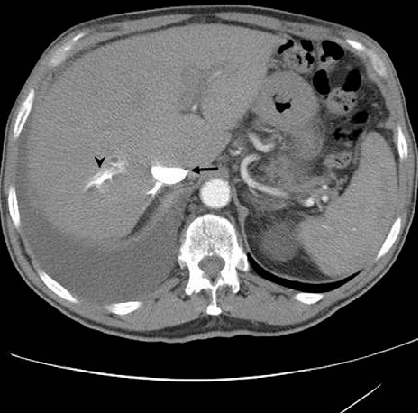
74 ¼¼ ³²È¯
¿ì¿¬È÷ Rt pleural effusion °üÂûµÇ¾î ³»¿øÇÔ
5´Þ Àü¿¡ ¹ß¿­°ú ¿ÀÇÑ ±âħÀ» µ¿¹ÝÇϴ ȣÈí±âÁõ»óÀÌ ¸î ÁÖµ¿¾È Áö¼ÓµÇ¾ú°í ±âħÀº È£ÀüµÇ¾úÀ¸³ª ¿òÁ÷À϶§ÀÇ ¼ûÂ÷´Â Áõ»óÀº¾ÆÁ÷ ³²¾Æ ÀÖÀ½
 
 
Pleural uid analysis:
a LDHlevel of 50 IU/L (pleural uid/serum ratio, 0.40);
total protein level, 3.5 mg/dL (pleural uid/serum ratio, 0.49);
 glucose level, 112 mg/dL.
Pleural uid cytology was negative for malignancy
 

ÀǽɵǴ Áø´Ü¸íÀº?
 
Weekly 23 ¿µ»óÀ» º¸°í Áø´Ü¸íÀ» ¸ÂÃç ÁÖ¼¼¿ä
´äº¯: Weekly 21 ¿µ»óÀ» º¸°í Áø´Ü¸íÀ» ¸ÂÃç ÁÖ¼¼¿ä

±Û¾²±â