Ȩ

87¸í

408577¸í

Ȩ>È£Èí±âQ&A

´äº¯: Weekly 21 ¿µ»óÀ» º¸°í Áø´Ü¸íÀ» ¸ÂÃç ÁÖ¼¼¿ä

È«Áö¿µ 2
115
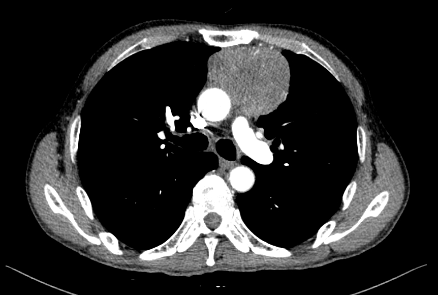
¿©·¯ ¼±»ý´ÔµéÀÌ ÀǰßÁֽŠ¹Ù¿Í °°ÀÌ lateral »çÁø»ó ÀǽɵǾú´ø anterior mass Chest CT »ó¿¡¼­µµ °üÂûµË´Ï´Ù.
 
Chest CT
A heterogenous enhancing mass at the Lt. anterior mediastinum.
The mass abuts the ascending aorta and MPA, without definite invasion.
Minimal pericardial effusion is visible, r/o pericardial invasion.
Unremarkable on the both lungs.
IMP: Anterior mediastinal mass
      DDx) invasive thymoma, thymic carcinoma, Hodgkin's lymphoma (nodular sclerosing)
 
-> »ó±â ÀÇÁõÇÏ¿¡ Thymus and lung, thymectomy by midsternotomy and wedge resection of lung  ½ÃÇàÇÏ¿´À¸¸ç
º´¸®°á°ú»óÀº Squamous cell carcinoma, poorly differentiated À¸·Î È®ÀεǾú½À´Ï´Ù.
Weekly 23 ¿µ»óÀ» º¸°í Áø´Ü¸íÀ» ¸ÂÃç ÁÖ¼¼¿ä
Weekly 22 ¿µ»óÀ» º¸°í Áø´Ü¸íÀ» ¸ÂÃç ÁÖ¼¼¿ä

±Û¾²±â