Ȩ

112¸í

408602¸í

Ȩ>È£Èí±âQ&A

Weekly 22 ¿µ»óÀ» º¸°í Áø´Ü¸íÀ» ¸ÂÃç ÁÖ¼¼¿ä

ÀӾƿµ 2
117
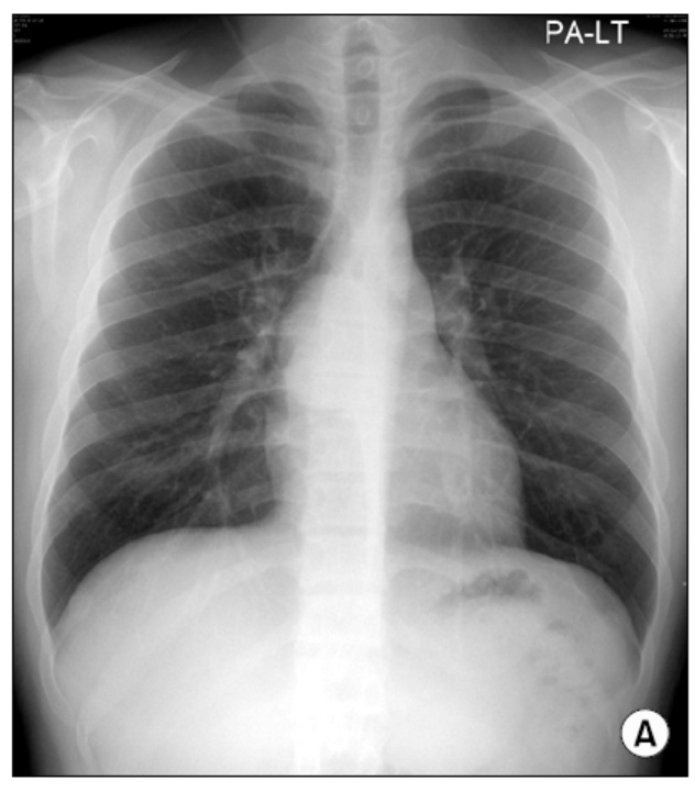
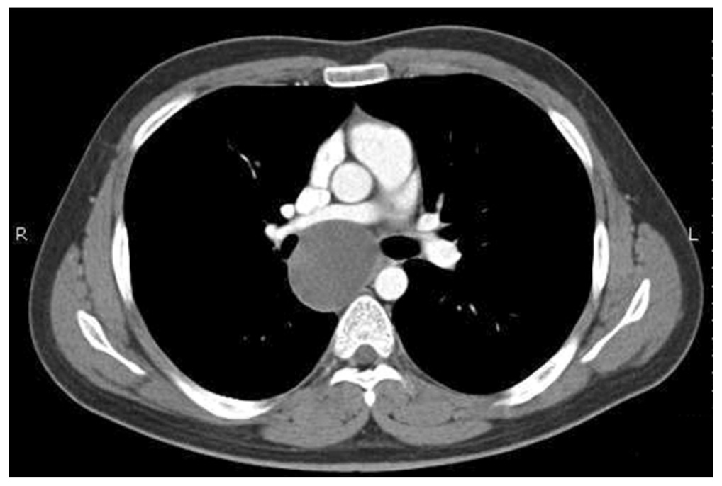
20¼¼ ³²ÀÚ, ½Åü °ËÁø X-ray »ó ¿ì¿¬È÷ ¹ß°ßµÈ ÀÌ»ó ¼Ò°ß ÁÖ¼Ò·Î ³»¿øÇÏ¿´½À´Ï´Ù.
Ưº°È÷ È£¼ÒÇÏ´Â Áõ»óÀº ¾ø¾ú°í lab »ó ÀÌ»ó ¼Ò°ßÀº º¸ÀÌÁö ¾Ê¾Ò½À´Ï´Ù.
 

 

´äº¯: Weekly 21 ¿µ»óÀ» º¸°í Áø´Ü¸íÀ» ¸ÂÃç ÁÖ¼¼¿ä
Weekly 21 ¿µ»óÀ» º¸°í Áø´Ü¸íÀ» ¸ÂÃç ÁÖ¼¼¿ä

±Û¾²±â