Ȩ

27¸í

397154¸í

Ȩ>È£Èí±âQ&A

Weekly 21 ¿µ»óÀ» º¸°í Áø´Ü¸íÀ» ¸ÂÃç ÁÖ¼¼¿ä

È«Áö¿µ 2
108




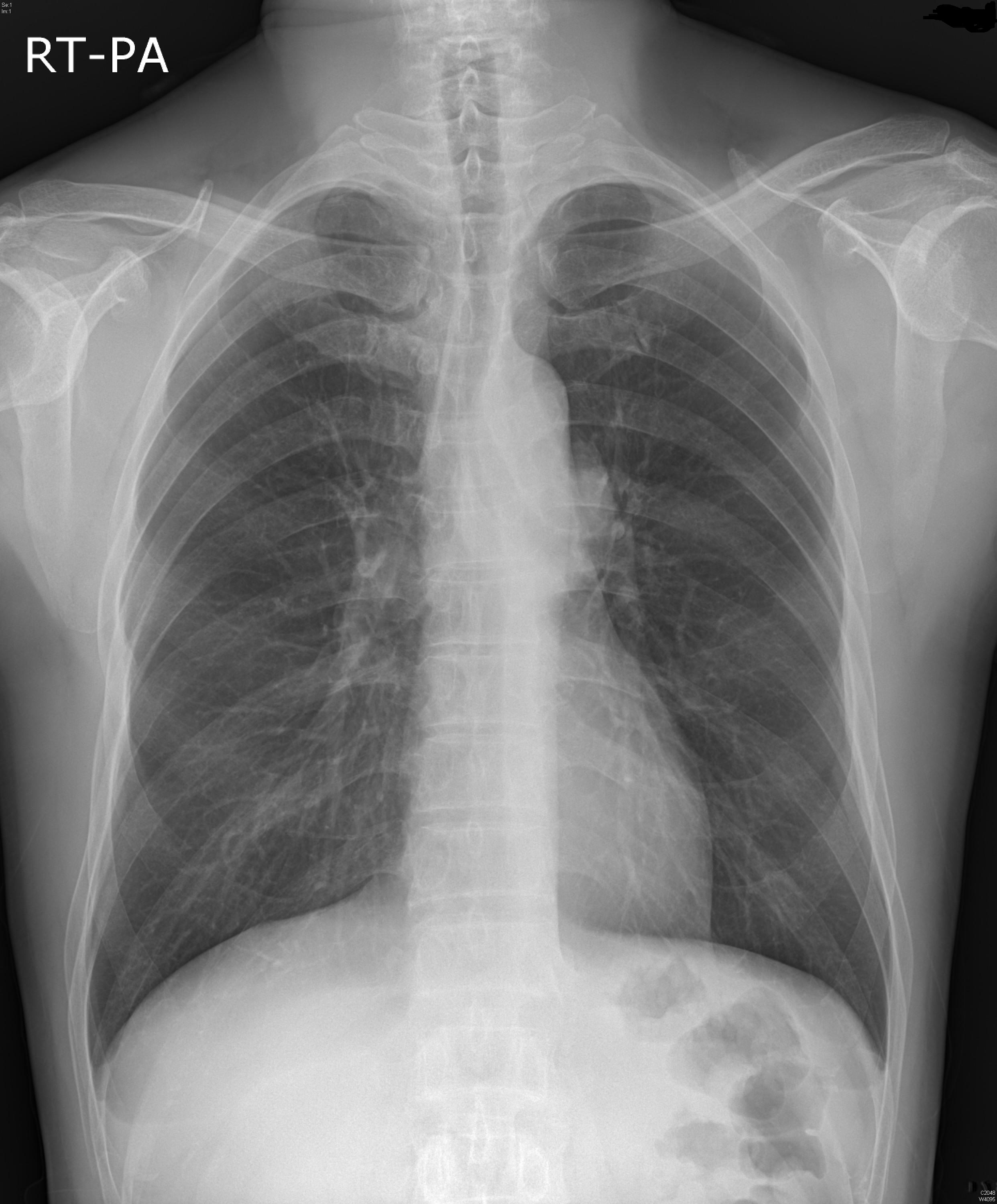
M/56
 
4°³¿ù ÀüºÎÅÍ ¹ß»ýÇÑ Èí±â½ÃÀÇ ÈäÅë
±âħ °¡·¡ ÀÖÀ½
 5ÀÏ ÀüºÎÅÍ ¾ÇÈ­µÇ¾î ³»¿øÇÔ
 
2012³â 11¿ù Chest PA, lateral
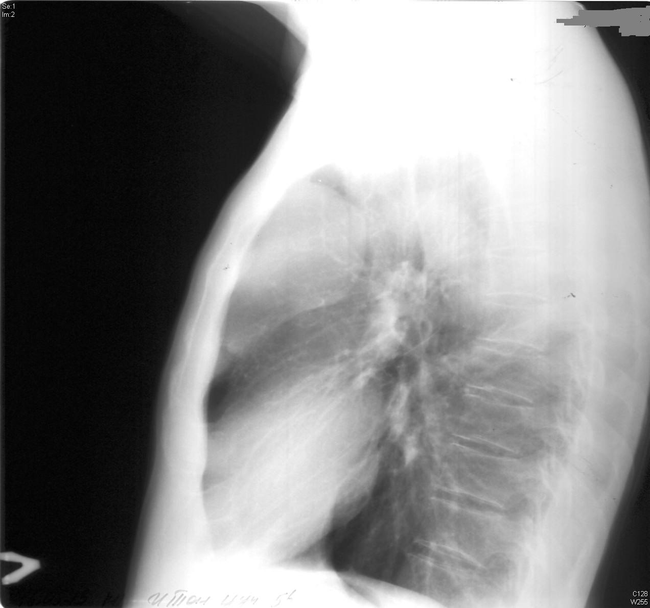
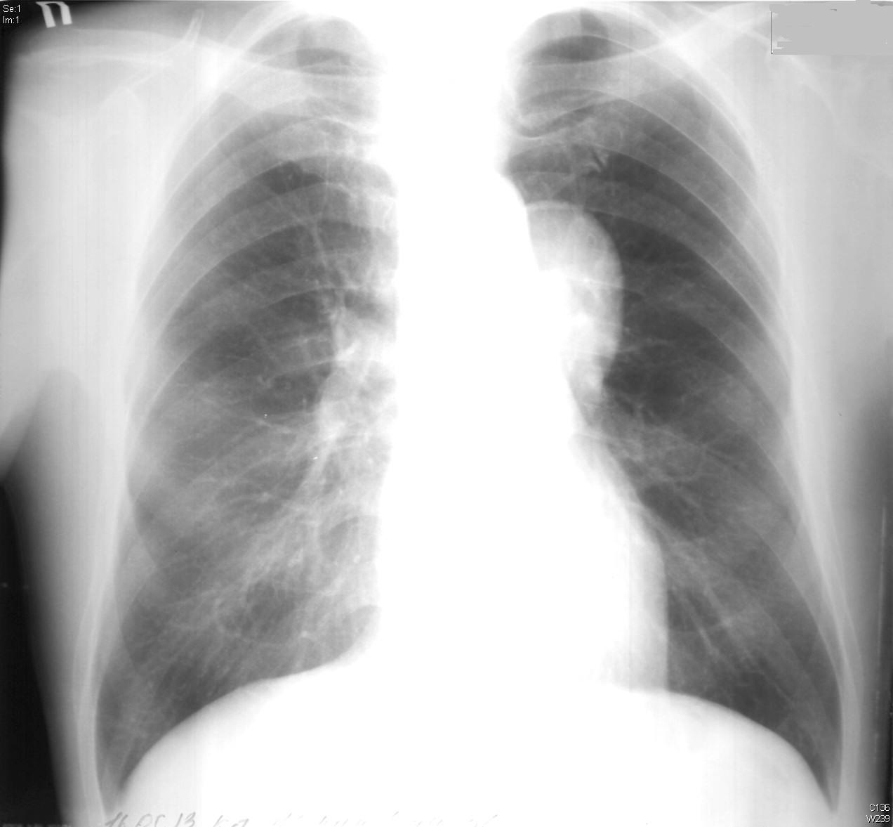
2013³â 5¿ù Chest PA, lateral ÀÔ´Ï´Ù.
lateral »çÁø °øºÎ¸¦ À§ÇØ Á¤Áö¿¹ ¼±»ý´ÔÀÌ ÃßÃµÇØ ÁֽŠȯÀÚ ¿µ»óÀÔ´Ï´Ù.
 
 
weekly 20 ¿µ»ó ´äº¯ÀÔ´Ï´Ù.
weekly 20 ¿µ»óÀ» º¸°í Áø´Ü¸íÀ» ¸ÂÃç ÁÖ¼¼¿ä.

±Û¾²±â