Ȩ

50¸í

397177¸í

Ȩ>È£Èí±âQ&A

weekly 20 ¿µ»óÀ» º¸°í Áø´Ü¸íÀ» ¸ÂÃç ÁÖ¼¼¿ä.

±è¿µÀç 2
116
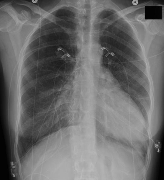
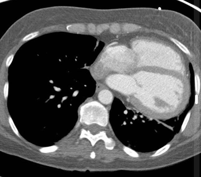
19¼¼ ³²È¯
 
ƯÀÌ º´·Â ¾øÀ½
 
¿îµ¿½Ã ÈäºÎ ºÒÆí°¨À» ÁÖ¼Ò·Î ³»¿øÇÔ.
 
 




Weekly 21 ¿µ»óÀ» º¸°í Áø´Ü¸íÀ» ¸ÂÃç ÁÖ¼¼¿ä
weekly 18 ¿µ»ó ´äº¯ÀÔ´Ï´Ù.

±Û¾²±â