Ȩ

63¸í

408820¸í

Ȩ>È£Èí±âQ&A

weekly 19 ¿µ»óº¸°í ¸ÂÃçÁÖ¼¼¿ä.

ȲÀǵ¿ 2
98
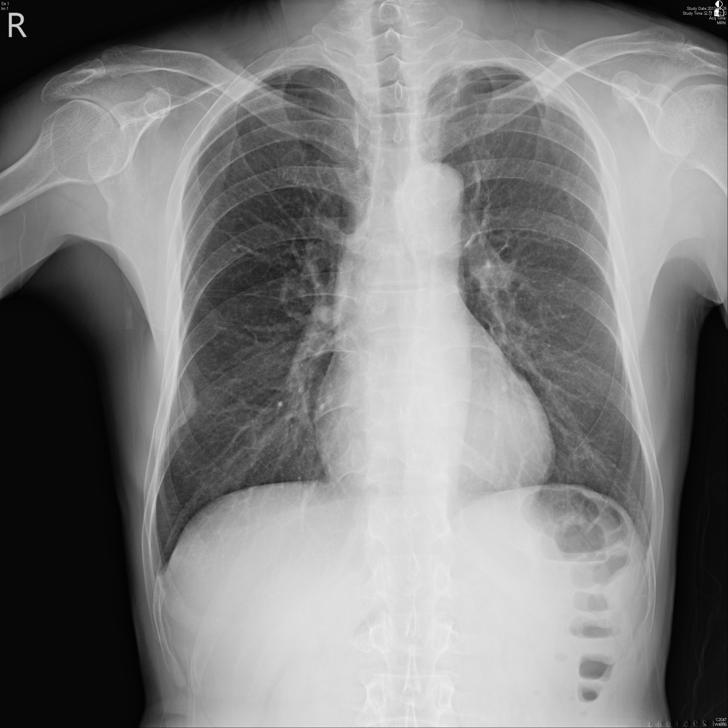
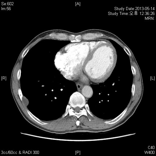
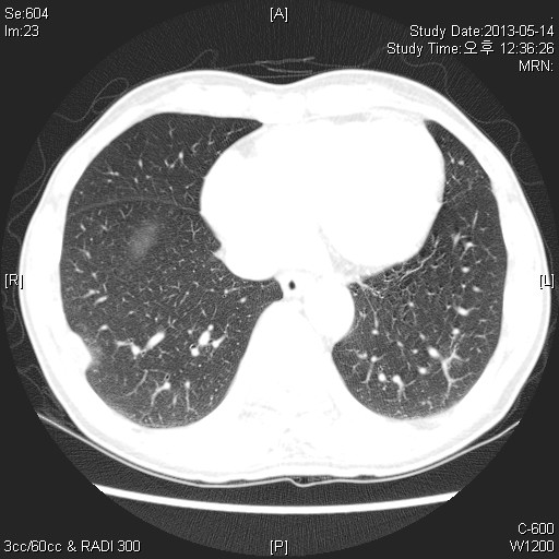
59¼¼ ³²È¯ ƯÀÌ ³»°úÀû °ú°Å·Â ¾ø´ø ȯÀÚ·Î °Ç°­°ËÁøÀ¸·Î ½ÃÇàÇÑ CxR »ó ÀÌ»ó¼Ò°ßº¸¿© refer µÈ ȯÀÚÀÔ´Ï´Ù.
 
³»¿ø´ç½Ã ƯÀÌ Áõ»ó¾ø¾ú°í,³»¿ø ´ç½Ã lab °ú CxR,chest CT ´Â ´ÙÀ½°ú °°½À´Ï´Ù.
 
CBC 6900(seg64.9%)/13/347K
Ca/P 8.4/2.7
BUN/Cr 16.5/0.77
E' 141/3.9/107/24
T.pro/alb 6.3/3.8
OT/PT/T.bil 16/13/0.5
CRP (C-Reactive Protein) 10.11 (0~8mg/L)
 



weekly 18 ¿µ»óº¸°í ¸ÂÃçÁÖ¼¼¿ä.
weekly 17 ¿µ»ó ´äº¯ÀÔ´Ï´Ù.

±Û¾²±â