Ȩ

12¸í

408861¸í

Ȩ>È£Èí±âQ&A

weekly 18 ¿µ»óº¸°í ¸ÂÃçÁÖ¼¼¿ä.

¼ÛÁÖÇÑ 2
105
M/38 °Ç°­°ËÁøÀ¸·Î chest X-ray ½ÃÇà ÈÄ ¹æ¹®. 
Dyspnea on exertion (mMRC 1) with dry cough
Onset: 2weeks ago,Smoking history: 40 PY,Family history (-)
Á÷¾÷·Â: ȽÁý¿î¿µ,¾à¹°º¹¿ë(-),³ì¿ëº¹¿ë: 1°³¿ùÀü
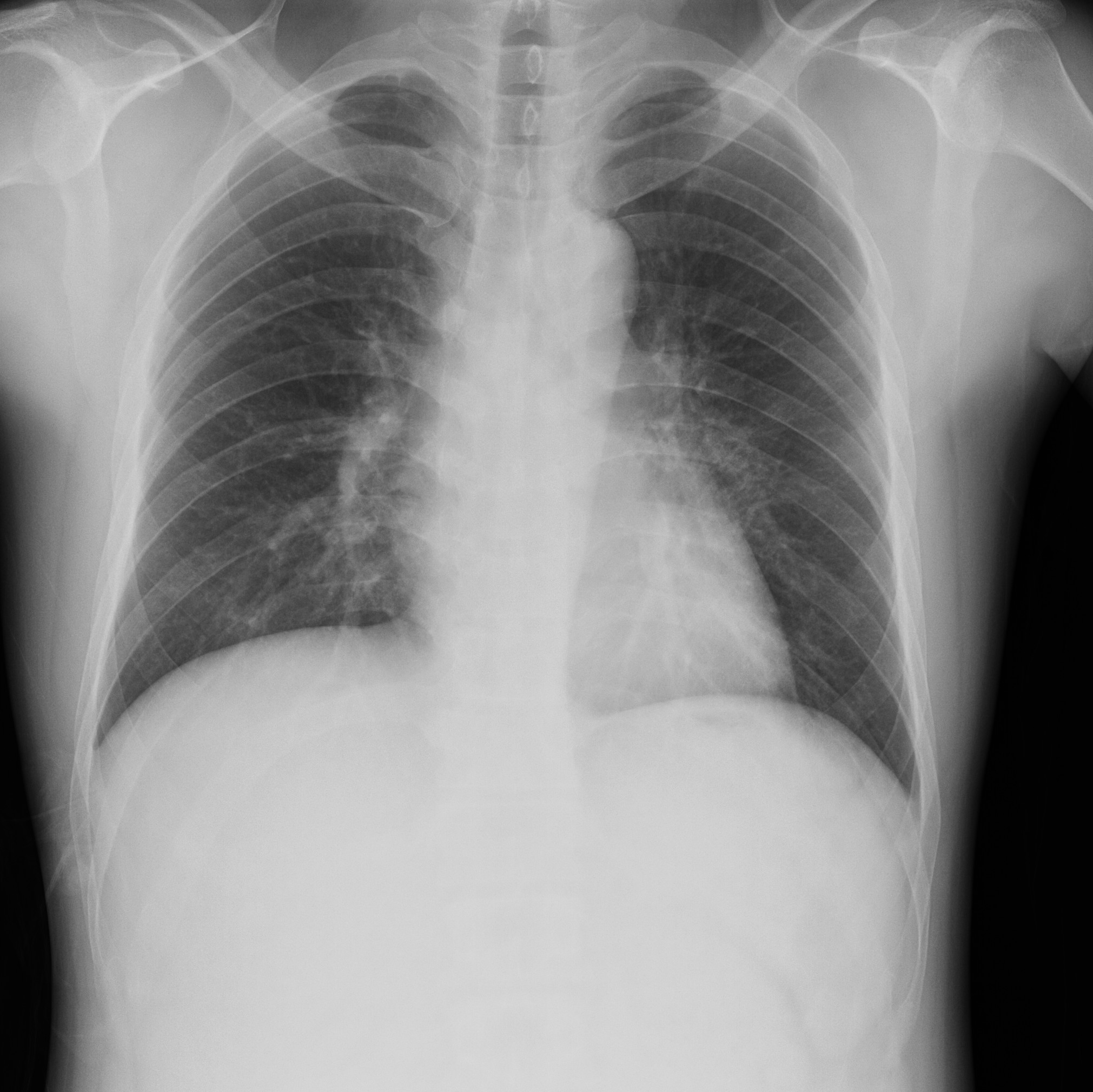
2012-04-13 chest PA
 
2013-04-15 chest PA
 
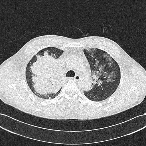
2013-05-06 chest CT(1)
 
2013-05-06 chest CT(2)
 
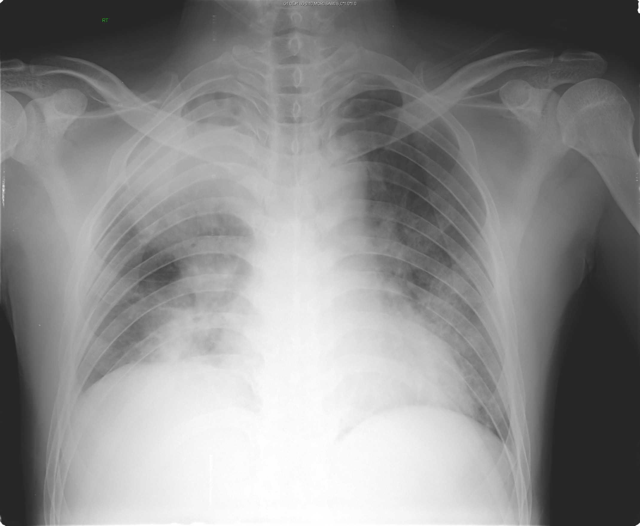
2013-05-25 chest PA_post BAN & TBLB
 
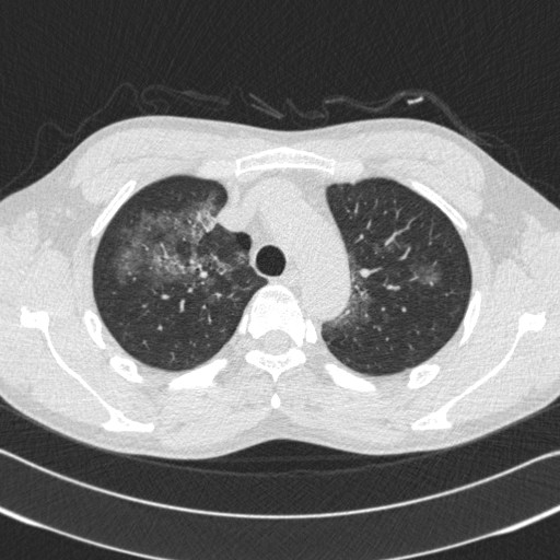
2013-05-25 chest CT_post BAL & TBLB_4 days later(1)
 
2013-05-25 chest CT_post BAL&TBLB_4days later(2)

weekly 17 ¿µ»ó ´äº¯ÀÔ´Ï´Ù.
weekly 17 ¿µ»óº¸°í ¸ÂÃçÁÖ¼¼¿ä.(CXR¸¸ ÀÖ½À´Ï´Ù!)

±Û¾²±â