Ȩ

95¸í

408944¸í

Ȩ>È£Èí±âQ&A

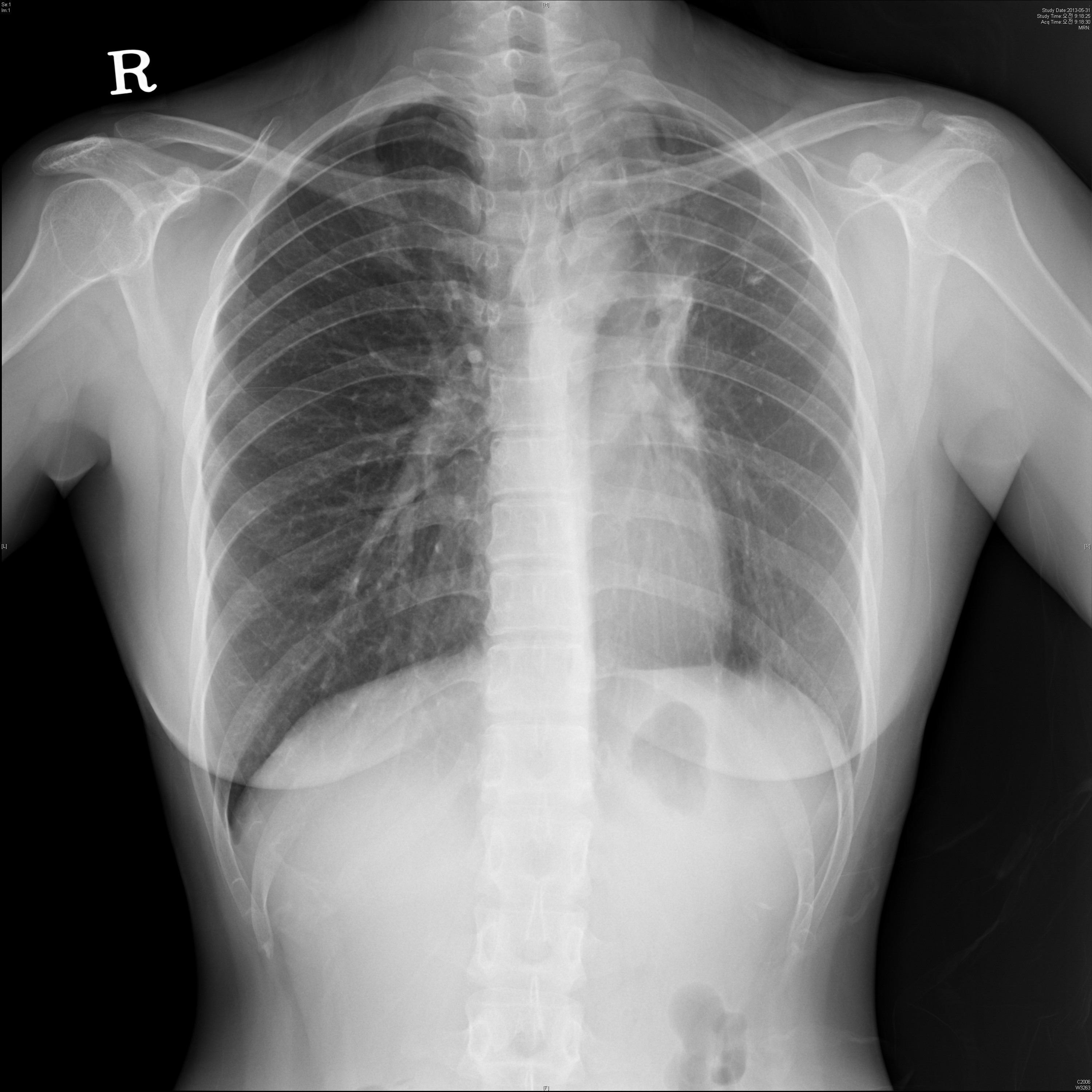
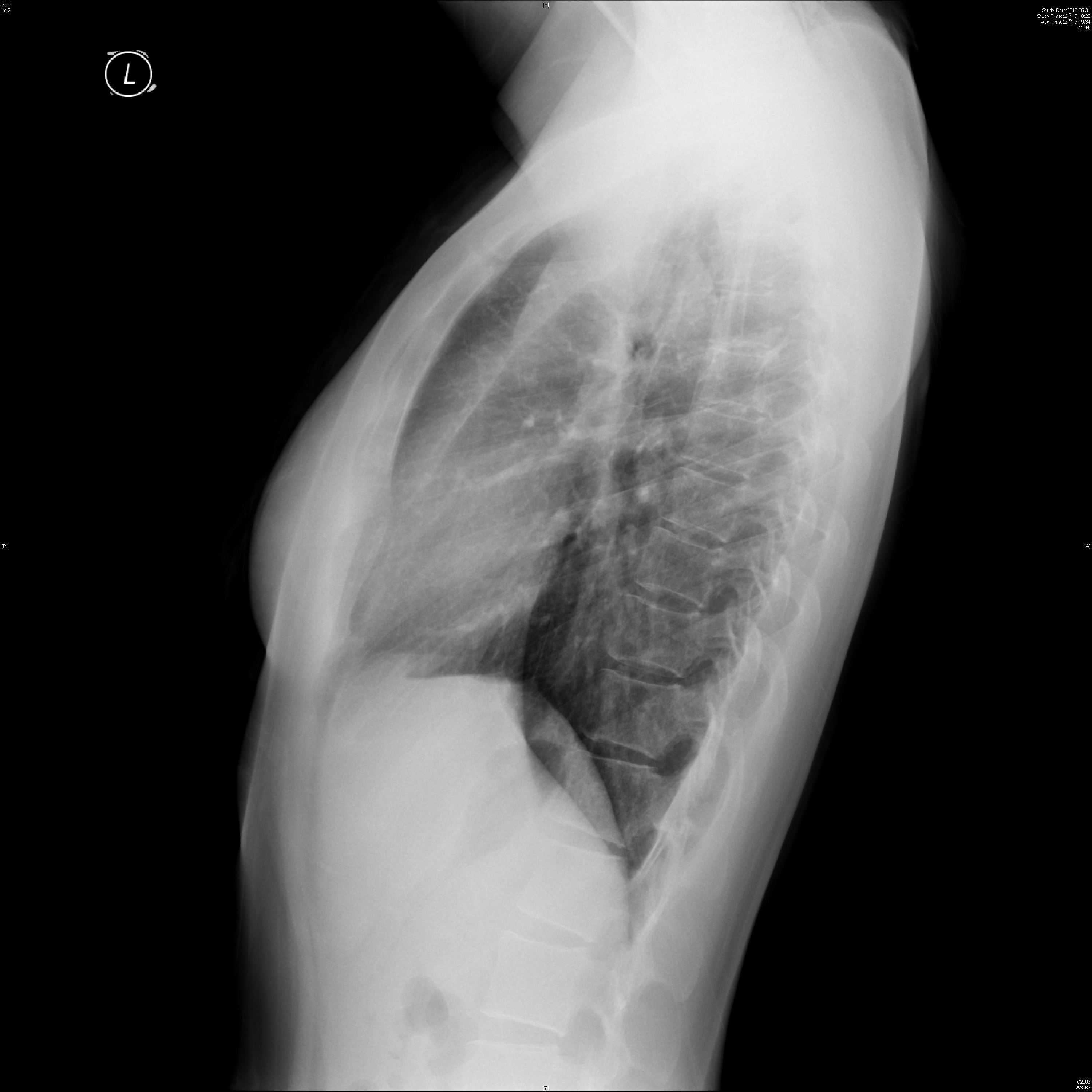
weekly 17 ¿µ»óº¸°í ¸ÂÃçÁÖ¼¼¿ä.(CXR¸¸ ÀÖ½À´Ï´Ù!)

Á¤¿øÀç 2
132


34¼¼ ¿©ÀÚÀÔ´Ï´Ù. TBÀÇ º´·ÂÀÌ ÀÖ½À´Ï´Ù.
 
´ÙÀ½ chest PA ¹× Lat(Lt)¿¡¼­ ¾Ë ¼ö ÀÖ´Â ÀÌ»óÀº ¹«¾ùÀϱî¿ä?
 
 
 
´äº¯: weekly 16 ¿µ»óÀ» º¸°í Áø´Ü¸íÀ» ¸ÂÃçÁÖ¼¼¿ä
weekly 15 ¿µ»ó¿¡ ´ëÇÑ ´äº¯ÀÔ´Ï´Ù.

±Û¾²±â