Ȩ

61¸í

397568¸í

Ȩ>È£Èí±âQ&A

weekly 16 ¿µ»óÀ» º¸°í Áø´Ü¸íÀ» ¸ÂÃçÁÖ¼¼¿ä

È«Áö¿µ 2
101






 
 
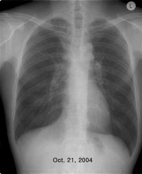
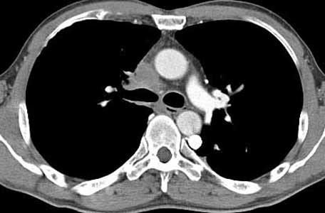
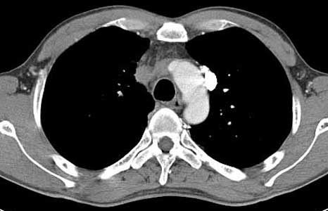
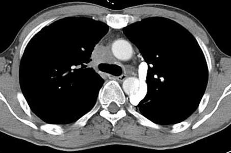
ÀÌÀü¿¡ °áÇÙ °ú°Å·Â ÀÖ´Â ³²ÀÚ 41¼¼·Î CXR ÀÌ»ó ¼Ò°ßÀ¸·Î refer
weekly 15 ¿µ»ó¿¡ ´ëÇÑ ´äº¯ÀÔ´Ï´Ù.
weekly 13 ¿µ»ó¿¡ ´ëÇÑ ´äº¯ÀÔ´Ï´Ù.

±Û¾²±â