Ȩ

157¸í

397664¸í

Ȩ>È£Èí±âQ&A

weekly 15 ¿µ»óÀ» º¸°í Áø´Ü¸íÀ» ¸ÂÃçÁÖ¼¼¿ä

±è¿µ 2
100
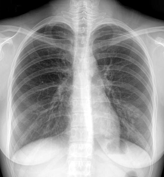
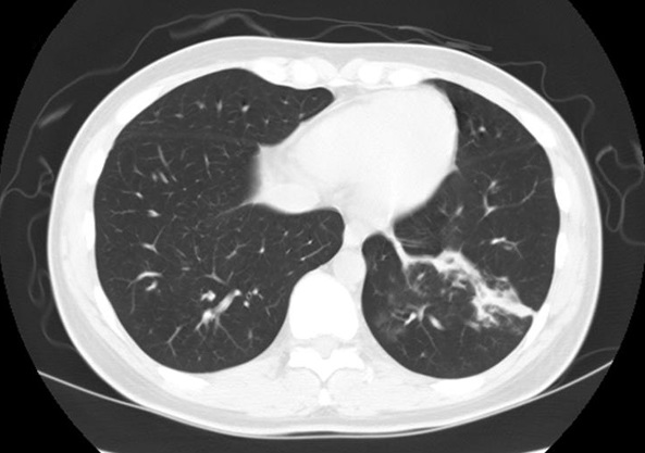
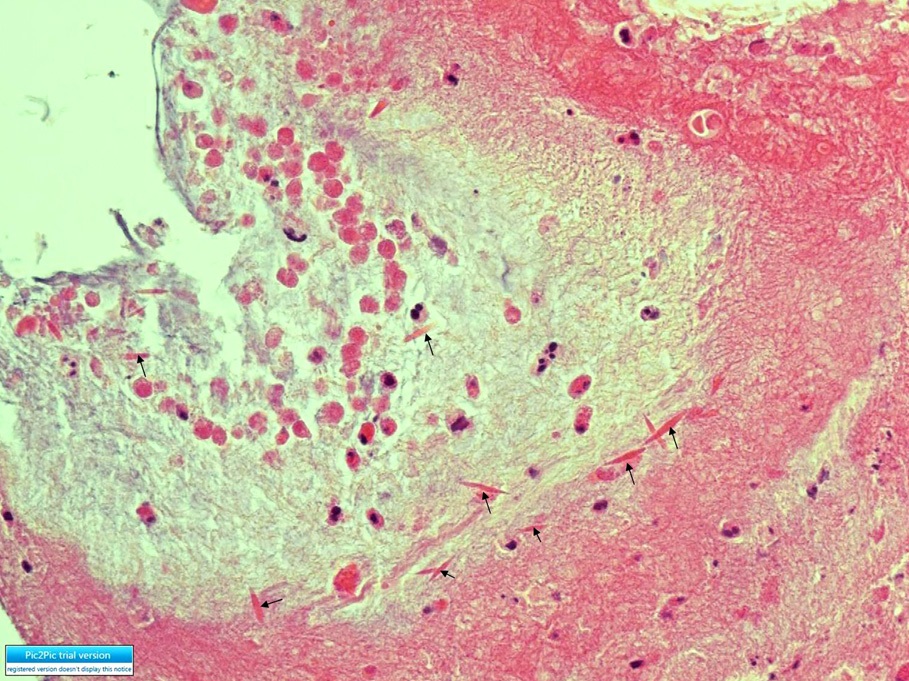
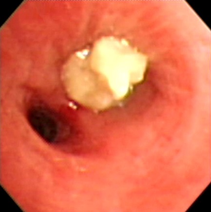
F/27
 
C.C : 2°³¿ù ÀüºÎÅÍ ¹Ýº¹µÇ´Â cough, sputum, rhinorrhea.
 
P/Ex. : wheezing on both lower lung fields.
 
Chest PA, Chest CT, Bronchoscopy , M-test was done.
 
Methacholine bronchial challenge test (+)





weekly 14 Á¤´äÀÔ´Ï´Ù.
weekly 13 ¿µ»óÀ» º¸°í Áø´Ü¸íÀ» ¸ÂÃçÁÖ¼¼¿ä

±Û¾²±â