Ȩ

29¸í

409099¸í

Ȩ>È£Èí±âQ&A

weekly 14 ¿µ»óÀ» º¸°í Áø´Ü¸íÀ» ¸ÂÃçÁÖ¼¼¿ä

±è»ûº° 2
102
F/34
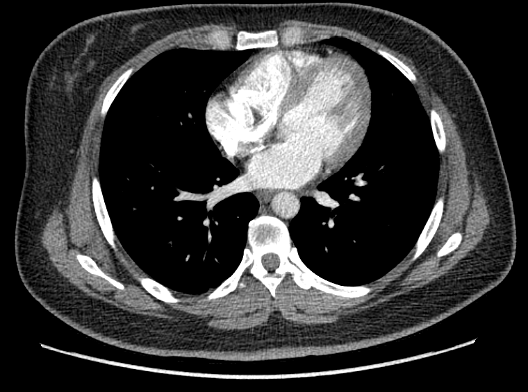
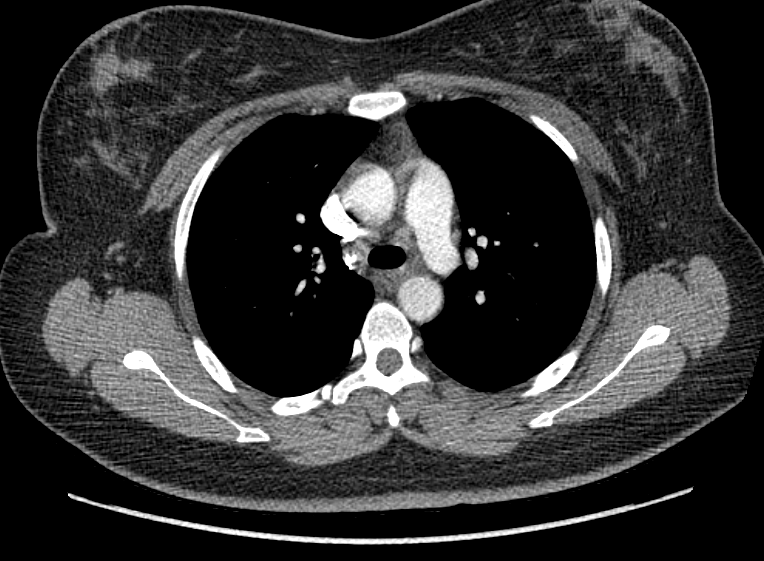
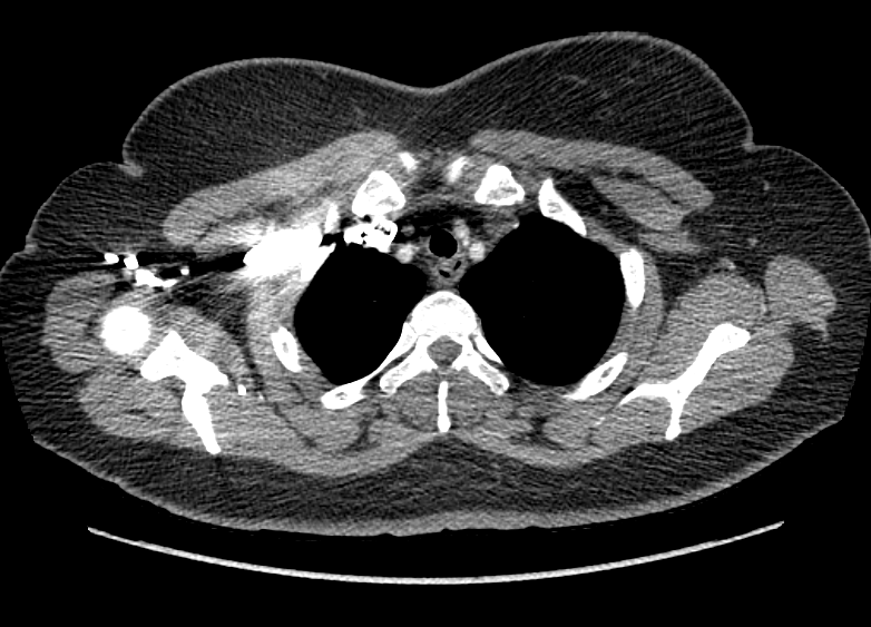
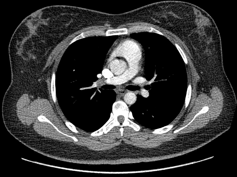
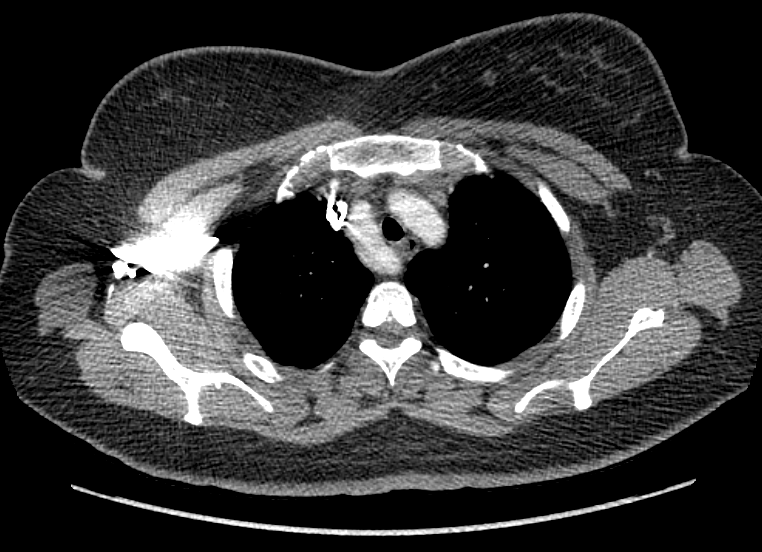
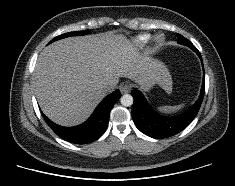
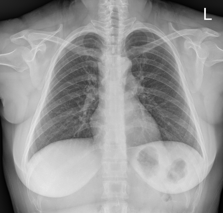
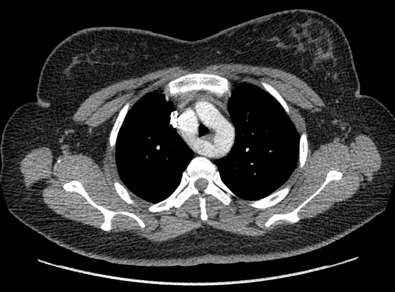
°Ç°­°ËÁø»ó ½ÃÇàÇÑ Chest PA »ó mediastinal widening ¼Ò°ßÀ¸·Î further evaluation À§ÇØ ³»¿øÇÔ.
Áõ»óÈ£¼Ò ¾øÀ¸¸ç ½Åü°ËÁø»ó ƯÀÌ¼Ò°ß ¾øÀ½.
 








weekly 13 ¿µ»óÀ» º¸°í Áø´Ü¸íÀ» ¸ÂÃçÁÖ¼¼¿ä
weekly 13 ¿µ»óÀ» º¸°í Áø´Ü¸íÀ» ¸ÂÃçÁÖ¼¼¿ä

±Û¾²±â