Ȩ

257¸í

397764¸í

Ȩ>È£Èí±âQ&A

weekly 13 ¿µ»óÀ» º¸°í Áø´Ü¸íÀ» ¸ÂÃçÁÖ¼¼¿ä

ÀÌÀμ± 2
90
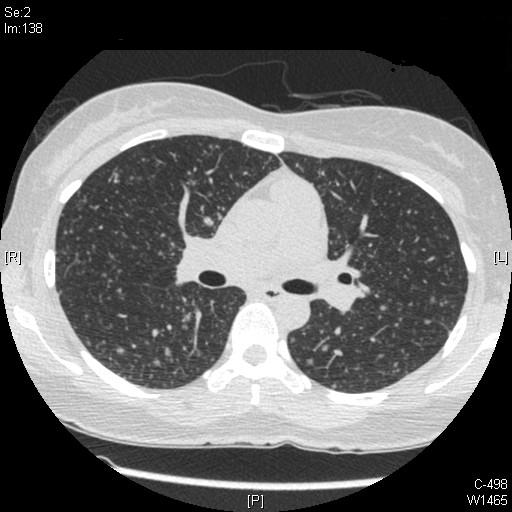
34¼¼ ¿©È¯.
°Ç°¨°ËÁø»ó CXR ÀÌ»ó ¼Ò°ßÀ¸·Î º»¿ø ³»¿ø.
ƯÀÌ ³»°úÀû °ú°Å·Â ¾ø¾ú°í,
Dyspnea. DOE µîÀÇ respiratory Áõ»óÀº È£¼ÒÇÏÁö ¾ÊÀ½.
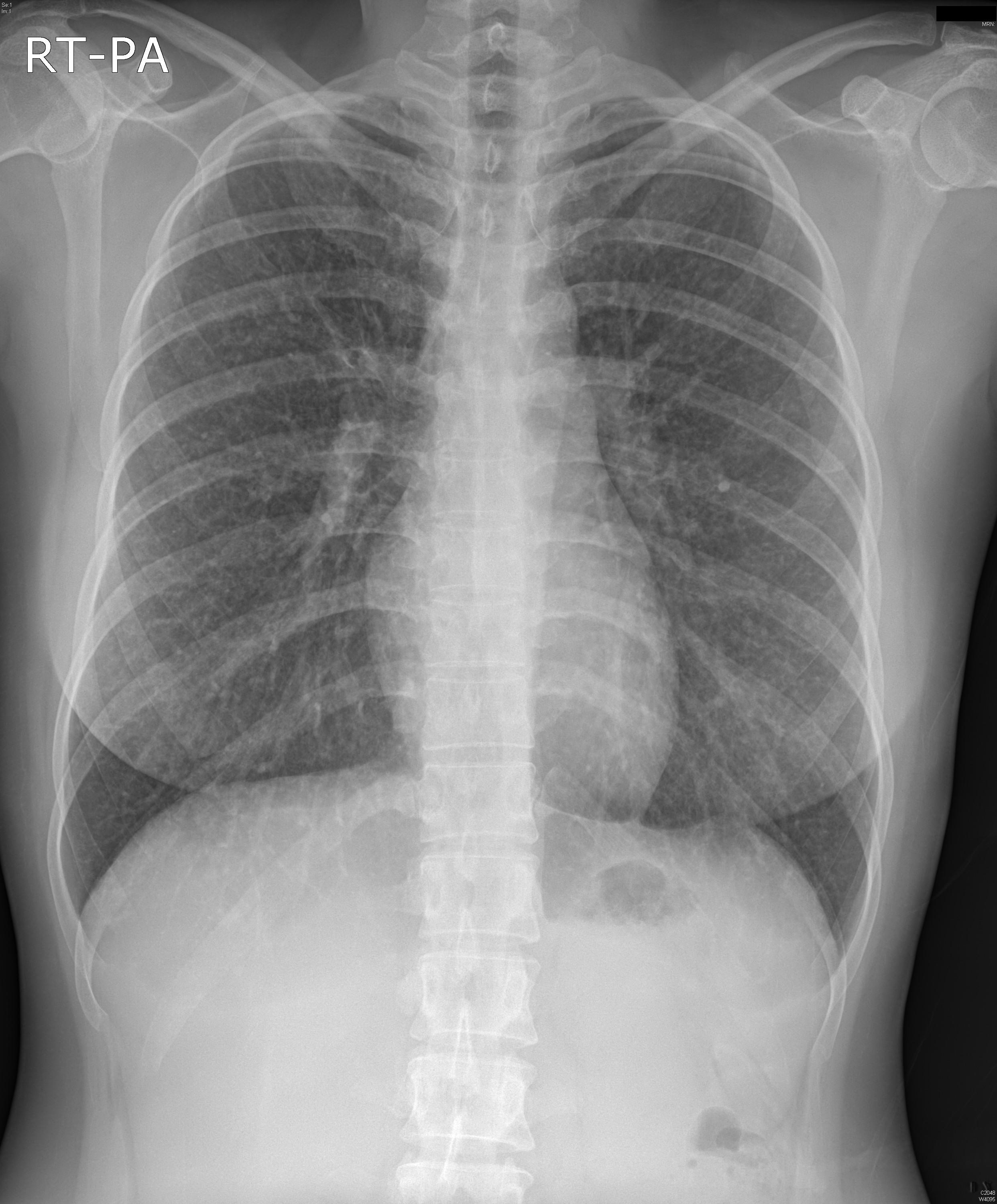
CXR »ó  scattered nodular opacity over the whole lung ¼Ò°ßº¸¿©
Chest CT ÃÔ¿µ ÇÏ¿´À½.
°´´ã°Ë»ç ¹× ±â°üÁö ³»½Ã°æ °Ë»ç»ó AFB smear À½¼º ¼Ò°ß º¸¿´À¸¸ç,
°æÇèÀûÀ¸·Î Tb medication ½ÃÀÛÇÏ¿´À¸³ª °áÇÙ Ä¡·á ÇÑ´Þ ÈÄ¿¡µµ È£Àü ¾ø°í,
Mycobacterial culture ¿¡¼­µµ µ¿Á¤µÇ´Â ±ÕÁÖ ¾ø¾úÀ½.
 


 
weekly 14 ¿µ»óÀ» º¸°í Áø´Ü¸íÀ» ¸ÂÃçÁÖ¼¼¿ä
weekly12 ¿µ»óÀÇ ´äº¯ÀÔ´Ï´Ù.

±Û¾²±â