Ȩ

365¸í

397872¸í

Ȩ>È£Èí±âQ&A

weekly12 ¿µ»óÀ» º¸°í Áø´Ü¸íÀ» ¸ÂÃç ÁÖ¼¼¿ä

±è¿µÀç 2
109
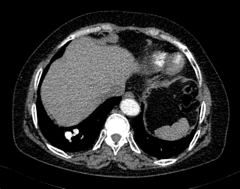
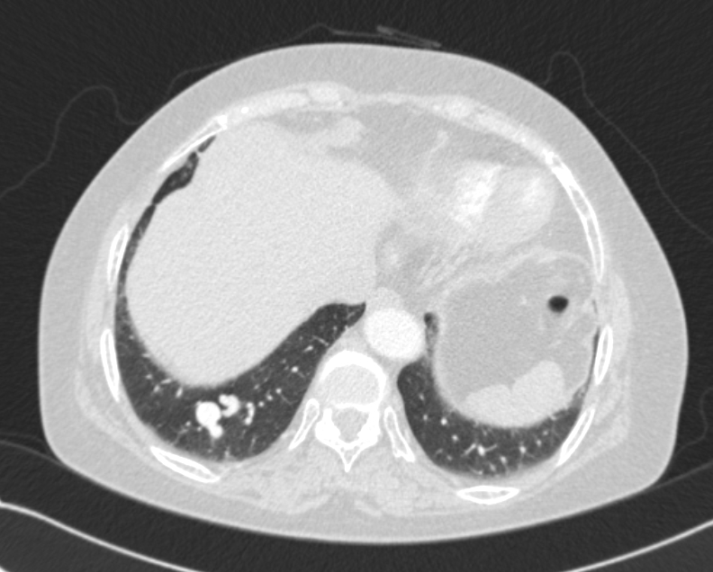
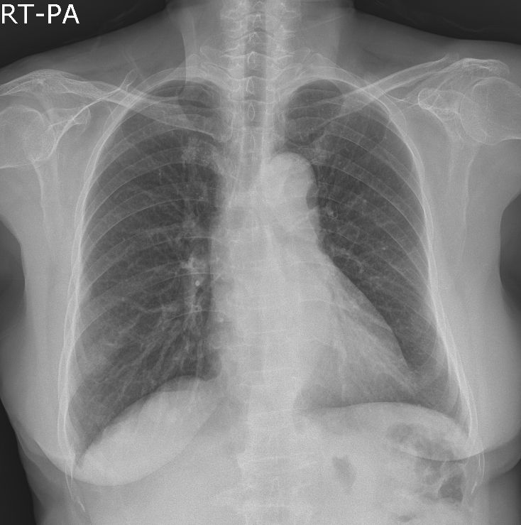
63¼¼ ¿©È¯
°©»ó¼±¾ÏÀ¸·Î ¼ö¼ú ¿¹Á¤À¸·Î, ¼ö¼ú Àü evaluation »ó¿¡¼­ CXR abnormality ÀÖ¾î
chest CT ±îÁö ½ÃÇàÇÏ¿´½À´Ï´Ù.
 
 

 

 

´Ù.
weekly12 ¿µ»óÀ» º¸°í Áø´Ü¸íÀ» ¸ÂÃç ÁÖ¼¼¿ä
weekly11 ¿µ»ó ´äº¯ÀÔ´Ï´Ù.

±Û¾²±â