Ȩ

152¸í

409373¸í

Ȩ>È£Èí±âQ&A

weekly11 ¿µ»óÀ» º¸°í Áø´Ü¸íÀ» ¸ÂÃç ÁÖ¼¼¿ä

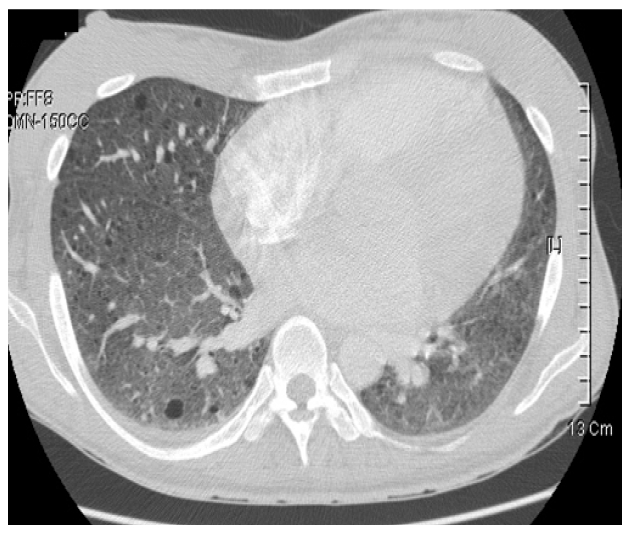
ÀӾƿµ 2
103
F/31
 
³»¿ø 2°³¿ù ÀüºÎÅÍ ½ÃÀÛµÈ È£Èí°ï¶õ, ±âħ ÁÖ¼Ò·Î ³»¿ø
ÀÌÇÐÀû ¼Ò°ß : ¾È¸é ºÎÀ§ÀÇ ´ëμº ÇÇÁö ¼±Á¾, ¾çÃø Ãøº¹ºÎ Á¾¹° ÃËÁö
ÀÌ¿Ü ÀÌÇÐÀû °Ë»ç»ó ƯÀÌ ¼Ò°ß ¾øÀ½.
 


´äº¯
weekly9 ¿µ»ó´äº¯ÀÔ´Ï´Ù.

±Û¾²±â