Ȩ

233¸í

409454¸í

Ȩ>È£Èí±âQ&A

weekly10 °áÇÙ¹× È£Èí±âÇÐȸ case ¿Í µ¿ÀÏÇÕ´Ï´Ù.

È«Áö¿µ 2
110
´ä ¸ø µéÀ¸½Å ¼±»ý´Ôµé ´Ù½Ã ¸ÂÃç ÁÖ¼¼¿ä
53 ¼¼ ¿©È¯ ºñÈí¿¬
¼ûÂùÁõ»óÀ¸·Î ³»¿ø, 5°³¿ù ÀüºÎÅÍ ÁøÇà
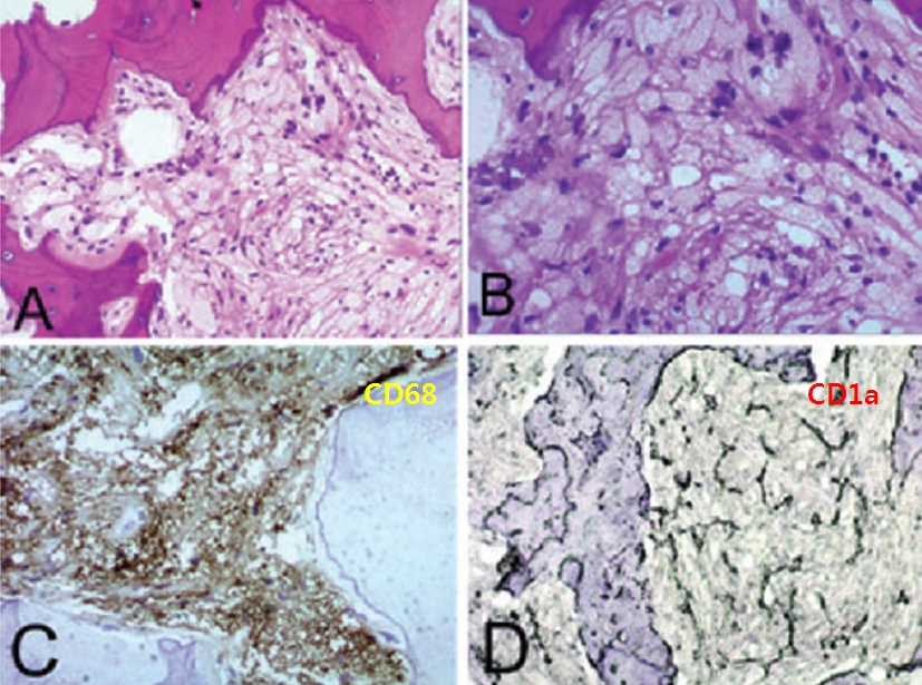
ȯÀÚ Áõ»óÀº ¾øÁö¸¸ X-ray ¿Í MRI »ó osteosclerotic lesions °üÂûµÇ°í °íÀ½¿µ¿¡ ÀÇÇØ °ñ¼ö°¡ ´ëüµÈ ¾ç»ó º¸¿© Rt femur ¿¡¼­ Á¶Á÷°Ë»ç ½ÃÇà
 



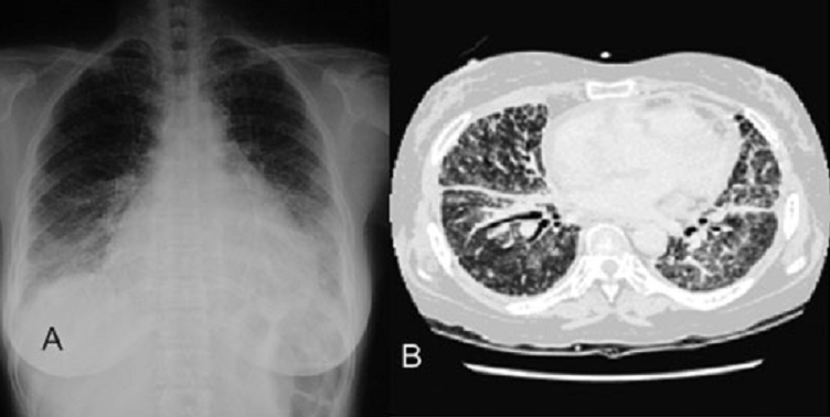
AB: lung image
 
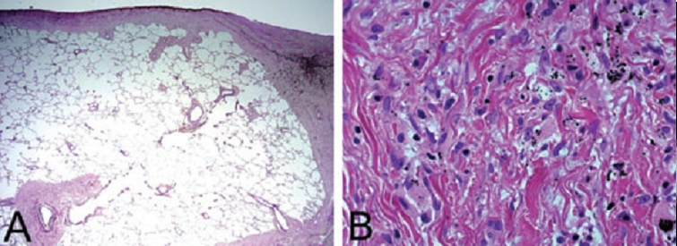
AB: lung tissue HE stain
 
ABCD: bone tissue HE, CD68, CD1a stain
weekly9 ¿µ»óÀ» º¸°í Áø´Ü¸íÀ» ¸ÂÃç ÁÖ¼¼¿ä
weekly9 ¿µ»óÀ» º¸°í Áø´Ü¸íÀ» ¸ÂÃç ÁÖ¼¼¿ä

±Û¾²±â