Ȩ

249¸í

409470¸í

Ȩ>È£Èí±âQ&A

weekly9 ¿µ»óÀ» º¸°í Áø´Ü¸íÀ» ¸ÂÃç ÁÖ¼¼¿ä

Á¤¿øÀç 2
125
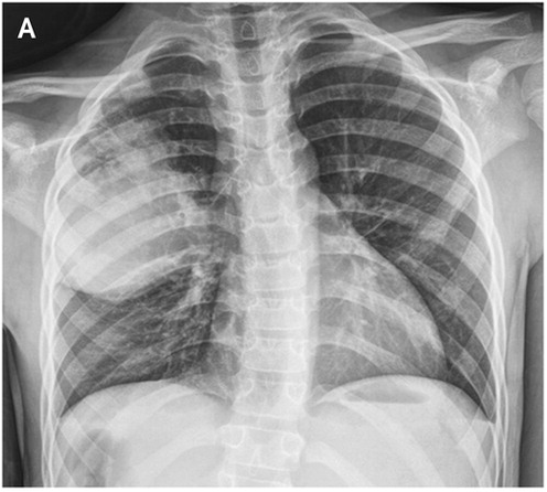
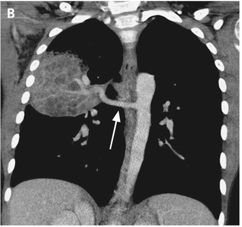
¼Ò¾Æ ³²È¯
fever¿Í chest painÀ¸·Î ÀÀ±Þ½Ç ³»¿ø.
Áø´Ü¸í°ú Ä¡·á ´äº¯ÁÖ¼¼¿ä.



weekly10 °áÇÙ¹× È£Èí±âÇÐȸ case ¿Í µ¿ÀÏÇÕ´Ï´Ù.
weekly 8 Á¤´äÀÔ´Ï´Ù.

±Û¾²±â