Ȩ

363¸í

409584¸í

Ȩ>È£Èí±âQ&A

weekly 8 ¿µ»óÀ» º¸°í Áø´ÜÀ» ¸ÂÃçÁÖ¼¼¿ä

±è»ûº° 2
93
 F/73
 DM, HTN °ú°Å·Â ÀÖ´Â ºÐÀ¸·Î hip osteoarthritis ·Î THR ½ÃÇà ¿¹Á¤ÇÏ´ø Áß preop CXR abnormality ·Î ÀÇ·ÚµÊ.
 never smoker, Á÷¾÷ : ¹«
 Cough/Sputum (-/-)
 Dyspnea/DOE (-/-)
 CBS s rale
 wheezing (-)

 
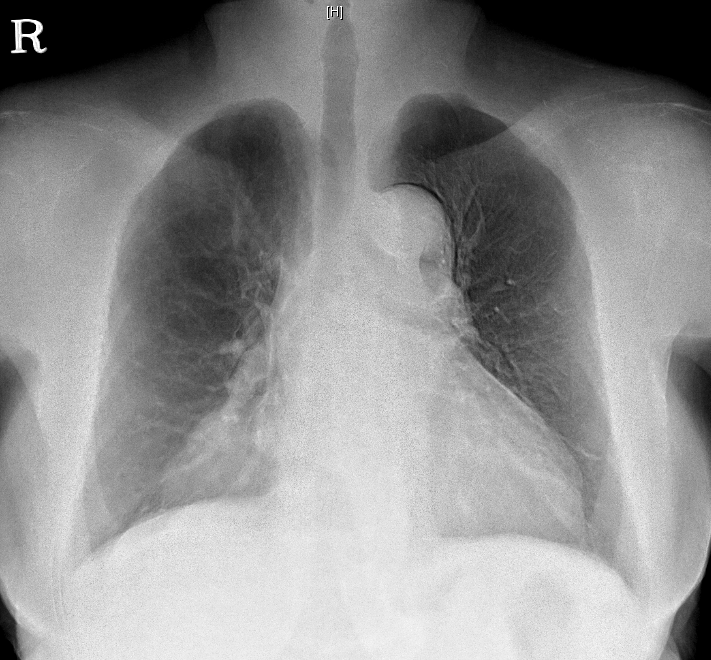
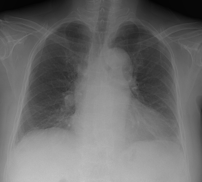
<³»¿ø½Ã CXR>
 
 
<3³âÀü CXR>

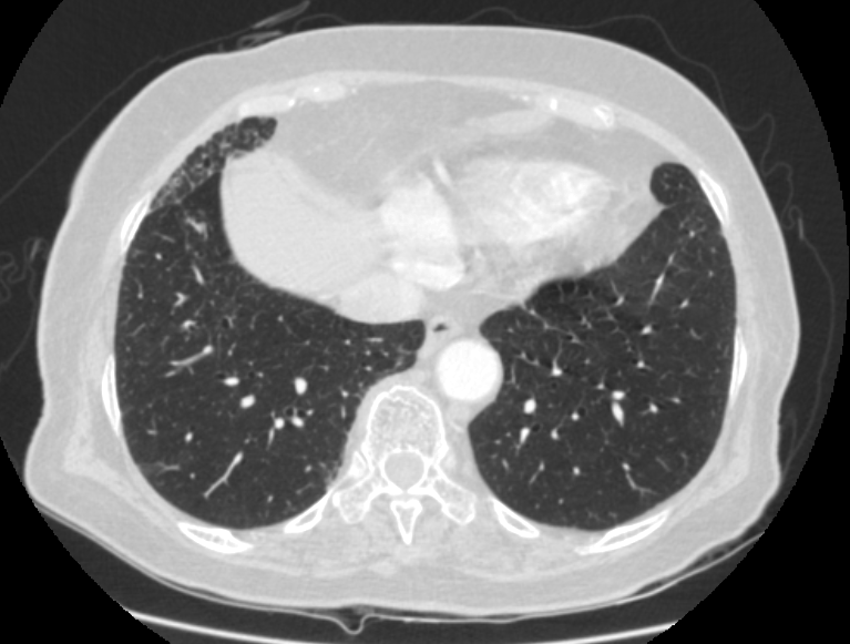
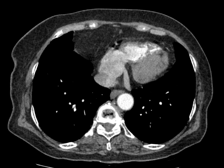
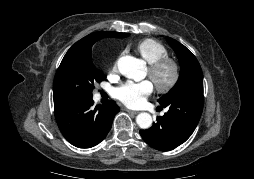
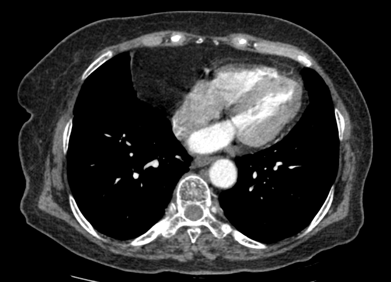
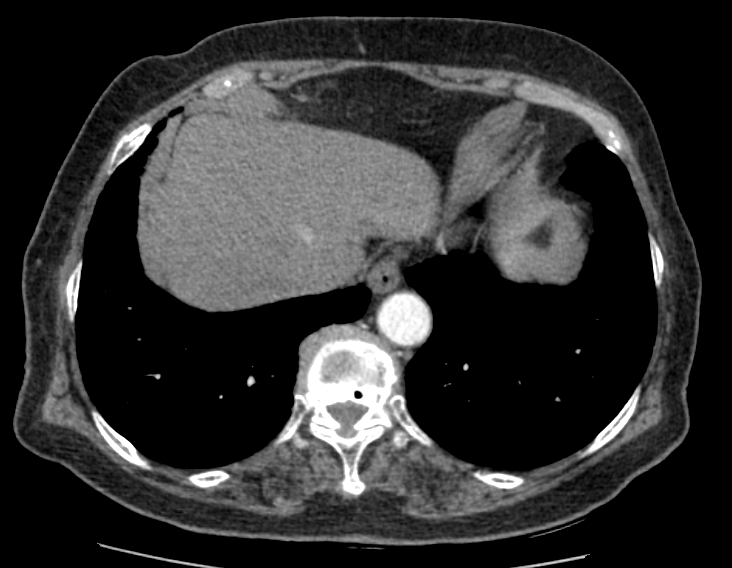
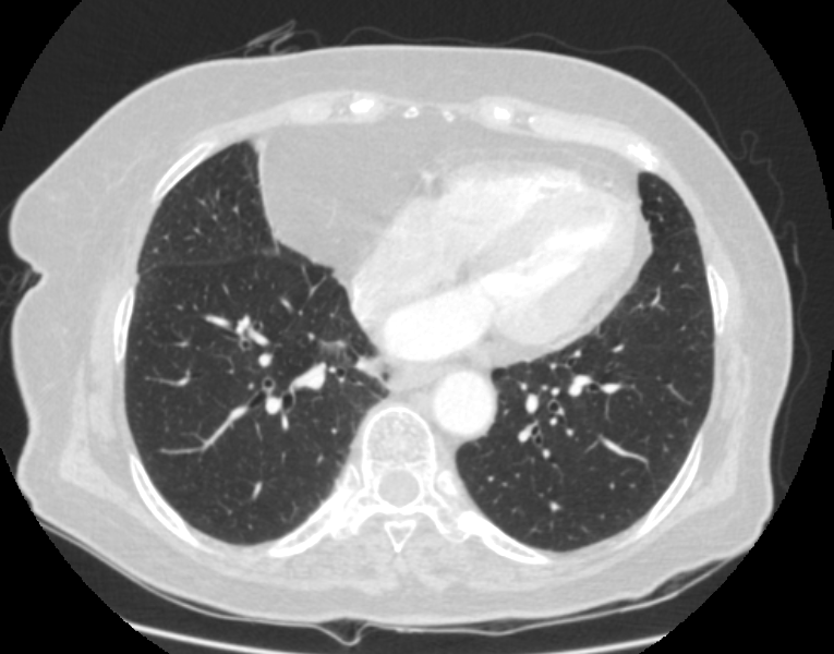
< Chest CT >









 

weekly 8 ¿µ»óÀ» º¸°í Áø´ÜÀ» ¸ÂÃçÁÖ¼¼¿ä
weekly 7 ¿µ»ó ´äº¯ÀÔ´Ï´Ù.

±Û¾²±â