Ȩ

20¸í

409667¸í

Ȩ>È£Èí±âQ&A

weekly 6 ¿µ»óÀ» º¸°í Áø´Ü¸íÀ» ¸ÂÃç ÁÖ¼¼¿ä

È«Áö¿µ 2
128
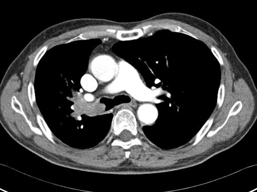
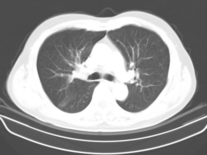
69 ¼¼ ³²È¯
CLL Áø´Ü¹Þ°í  allegenic stem cell transplantation ¹ÞÀº ÀÌÈÄ 8°³¿ù° ¹ß»ýÇÑ  ÇÑ´Þµ¿¾È Áö¼ÓµÇ´Â cough , Blood tingled sputum ÁÖ¼Ò·Î ³»¿øÇÔ

 

 

 

 

 

 

ù¹øÂ° µÎ¹øÂ° ¿µ»óÀº ÇÑ´Þ ÀüÀÇ Chest CT »çÁøÀÔ´Ï´Ù.
¸¶Áö¸· ¿µ»óÀº bronchoscopy »çÁøÀÔ´Ï´Ù.
weekly 7 ¿µ»óÀ» º¸°í Áø´ÜÀ» ¸ÂÃçÁÖ¼¼¿ä
weekly 5 ¿µ»ó ´äº¯ÀÔ´Ï´Ù.

±Û¾²±â