Ȩ

89¸í

409736¸í

Ȩ>È£Èí±âQ&A

weekly 5 ¿µ»óÀ» º¸°í Áø´Ü¸íÀ» ¸ÂÃç ÁÖ¼¼¿ä

È«Áö¿µ 2
132
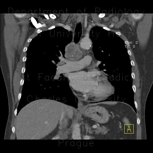
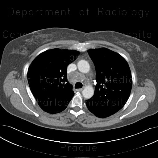
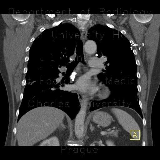
M/21
Incidental detected mass
 

 

 






weekly 5 ¿µ»óÀ» º¸°í Áø´Ü¸íÀ» ¸ÂÃç ÁÖ¼¼¿ä
weekly 4 ¿µ»óÀ» º¸°í Áø´Ü¸íÀ» ¸ÂÃç ÁÖ¼¼¿ä

±Û¾²±â