Ȩ

15¸í

410872¸í

Ȩ>È£Èí±âQ&A

weekly 2 »çÁøÀ» º¸°í Áø´Ü¸íÀ» ¿Ã·Á ÁÖ¼¼¿ä!!!

È«Áö¿µ 2
139
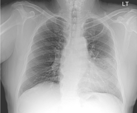
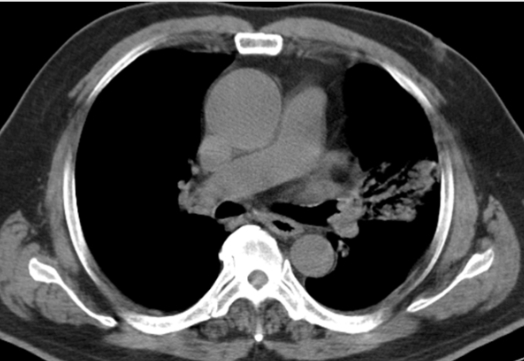
20¼¼³²ÀÚ
³»¿ø 1°³¿ù ÀüºÎÅÍ´Â ÀæÀº ±âħ°ú ÇÔ²² °¡½¿ ´ä´ä°¨, ¾ÈÁ¤
½Ã È£Èí°ï¶õÀÌ µ¿¹Ý,³»¿ø 15ÀÏ Àü, Ÿº´¿ø¿¡¼­ ±â°üÁö¿°, õ½Ä Áø´Ü.
 
³»¿ø 1³â 6°³¿ù ÀüºÎÅÍ ÇÏ·ç 1°©¾¿ Èí¿¬·Â
¹éÇ÷±¸ 7,330/¥ìL, Ç÷»ö¼Ò 15.4 g/dL
 
¹®Á¦ ³»½Å ºÐ: ȲÀǵ¿ ¼ö¼®Àü°øÀÇÀÔ´Ï´Ù.
 



weekly 1 ÀÌ È¯ÀÚÀÇ ÁúȯÀº? Á¤´ä
weekly 1 ÀÌ È¯ÀÚÀÇ ÁúȯÀº?? ´äÀ» ¿Ã·ÁÁÖ¼¼¿ä

±Û¾²±â