Ȩ

13¸í

398258¸í

Ȩ>È£Èí±âQ&A

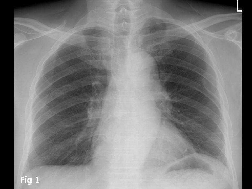
weekly 1 ÀÌ È¯ÀÚÀÇ ÁúȯÀº?? ´äÀ» ¿Ã·ÁÁÖ¼¼¿ä

È«Áö¿µ 2
194





M/70
Chest pain  È£¼Ò
Hb 11.8 g/dL
³ªÀÌ, Áõ»ó ¹¹ ±×·± °Ç ¾ø³ª¿ä
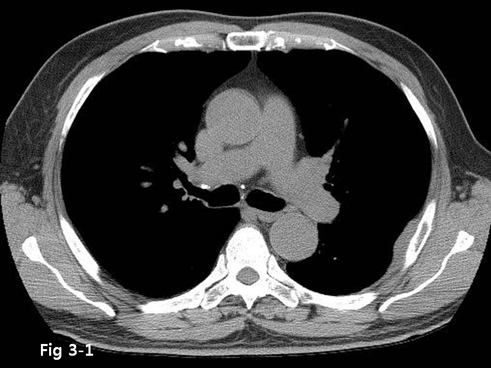
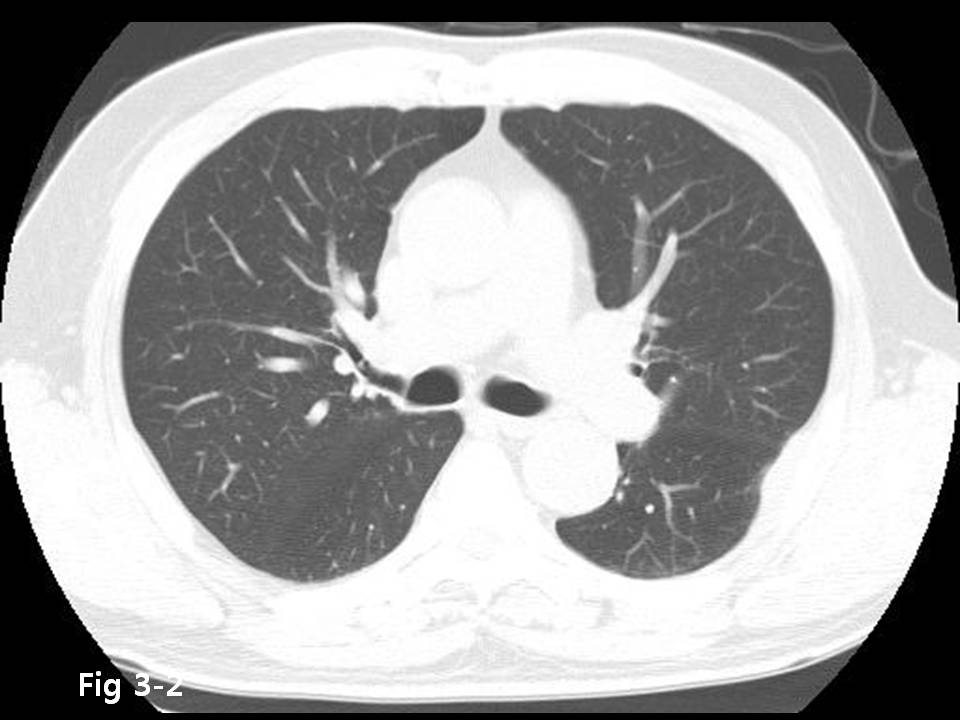
Chest CT ¿Ã·Á ÁÖ¼¼¿ä

±Û¾²±â