Ȩ

6¸í

398277¸í

Ȩ>È£Èí±âQ&A

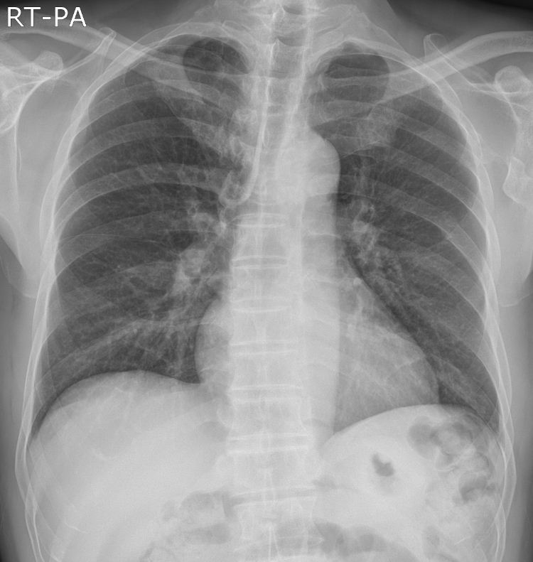
¿Ü·¡Áø·áº¼ ¿¹Á¤ÀÎ CXRÀÔ´Ï´Ù. ÀÌ»óÇÑ Á¡ Çѹø ºÁº¸¼¼¿ä ^^

Á¤°æ¼ö 2
171
 
CTÂïÀ» ¿¹Á¤Àε¥ ÂïÀ¸¸é °á°ú ¿Ã¸±²²¿ä
Chest CT ¿Ã·Á ÁÖ¼¼¿ä
 

±Û¾²±â