Ȩ

35¸í

406296¸í

Ȩ>Áõ·Ê°Ô½ÃÆÇ

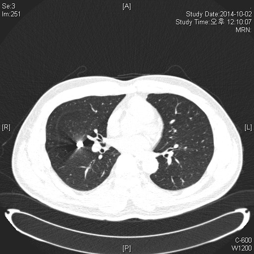
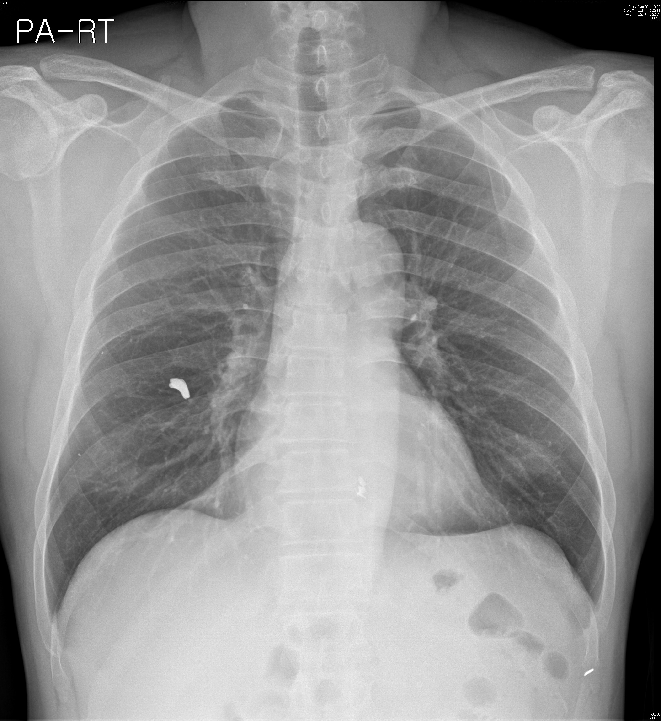
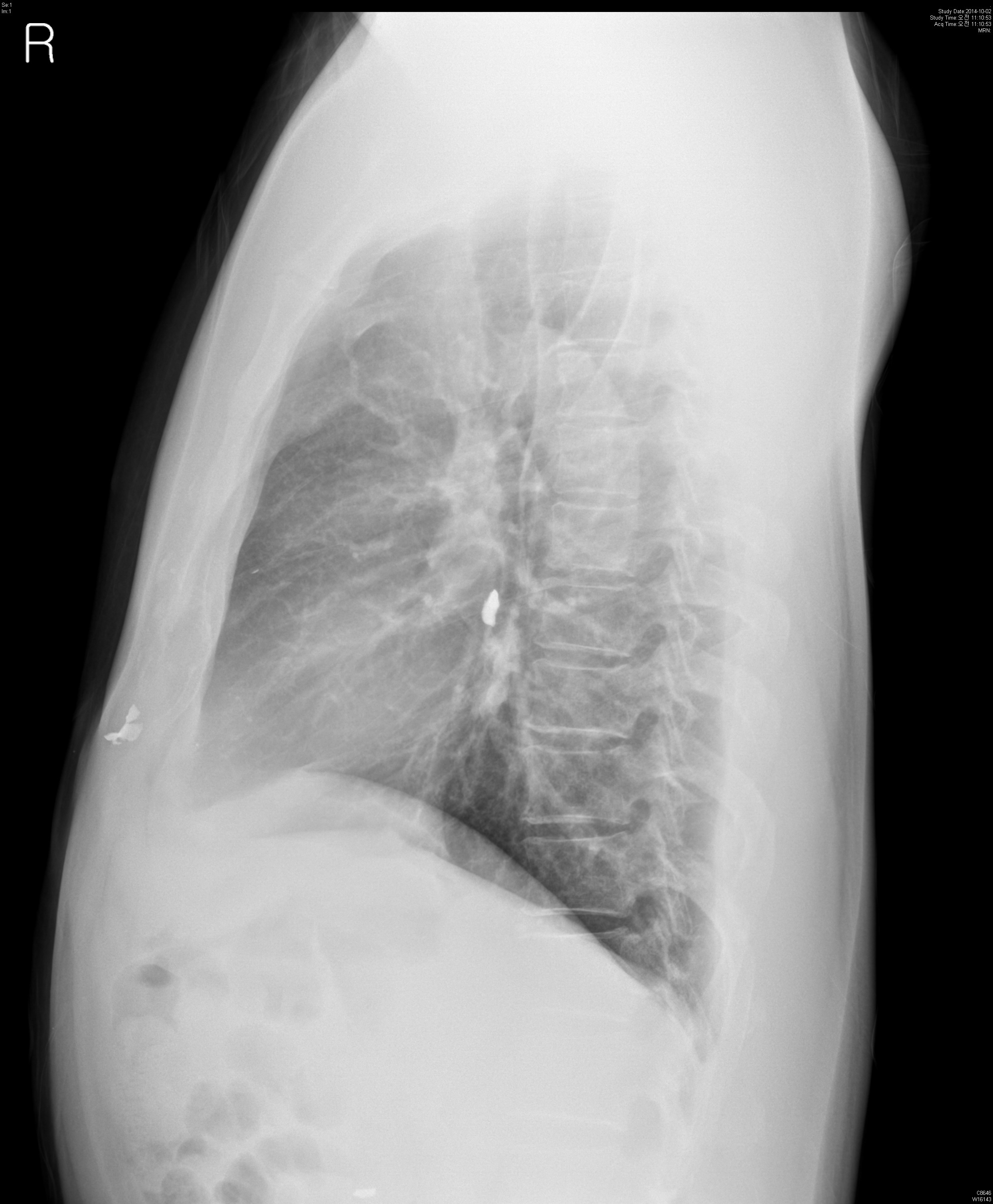
M/54, Abnormal CXR on Operability consult

¹®¼º¿ì 2
119
¾È°ú¿¡¼­ ¼ö¼ú °èȹ Áß Chest PA »ó¿¡¼­ ¹ß°ßµÈ calcification À¸·Î ½ÃÇàÇÑ Chest CT ÀÔ´Ï´Ù.
È£Èí±â Áõ»óÀº ¾ø¾úÀ¸¸ç, ÀÌÀü ±º´ë¿¡¼­ ÆøÅºÀ» ¸ÂÀº °ú°Å·ÂÀÌ ÀÖ½À´Ï´Ù.
 



 
M/53, pneumoconiosis, falling down injury

±Û¾²±â